种植牙给了牙齿缺失患者希望,让他们重建自信,重现灿烂笑容,因此种植牙受到很多牙齿缺失患者的青睐,那么种植牙有顾忌吗?糖尿病人可以做种植牙吗?下面穗华口腔专家来为大家讲解一下。

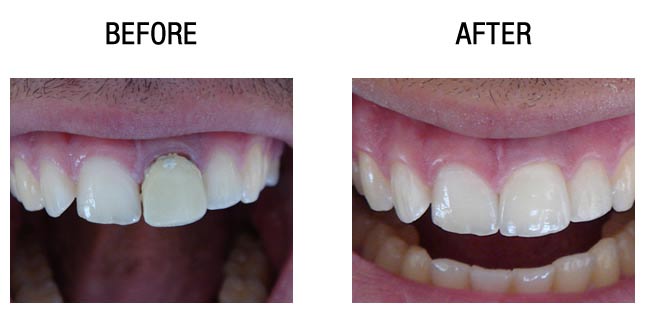
种植牙前后对比
穗华口腔专家指出,糖尿病人不适合做种植牙。高血糖让牙齿很受伤。糖友的牙齿通常很“脆弱”,一不留神就会出现牙周炎、牙齿松动脱落、牙根面龋等,而这些口腔的“麻烦”往往和血糖波动有关。由于糖尿病使唾液中的含糖量增高、口腔酸性增加,同时唾液量减少,对牙齿冲洗自洁作用下降,易导致牙周病、龋齿增加。牙周病使牙齿的支持组织齿槽骨的骨质逐渐吸收消失,造成牙齿松动脱落。就像一棵根部没有泥土培植的树木,它再完美,也难以挺立。
糖尿病人建议佩戴假牙。牙齿出现问题后,都希望尽快进行修复。近年来流行种植牙,但糖尿病人却不适合做。如果是镶烤瓷牙,牙根若没有问题,应尽量保住,否则时间一长,常常会影响牙齿的稳固性,造成牙齿松动、移位或错颌,影响血糖降糖药物的作用。若是老年糖友,并且牙齿已经多数脱落,建议好佩戴假牙。
广州穗华口腔,您美牙护牙放心之选!
穗华口腔医院是拥有百年人文底蕴的暨南大学附属口腔医院临床教学医院,是广东省卫生厅批准成立的口腔专科医院,是集口腔诊疗、教学和科研为一体的现代化口腔综合医院,是您看牙的放心信赖之选! 如果您还有其他问题或需要帮助,可以点击在线咨询,还可以拔打全国免费热线:020-62266666。百度100遍,不如咨询1次。