生活总有不如意的地方,就像我们的牙齿,意外导致缺损了,从此变得不自信起来,总会“笑不露齿”生怕自己的牙齿成了他人笑话,使自己的形象大打折扣。那么牙齿意外缺损了怎么办?下面请听穗华口腔专家给我们做的详细介绍。

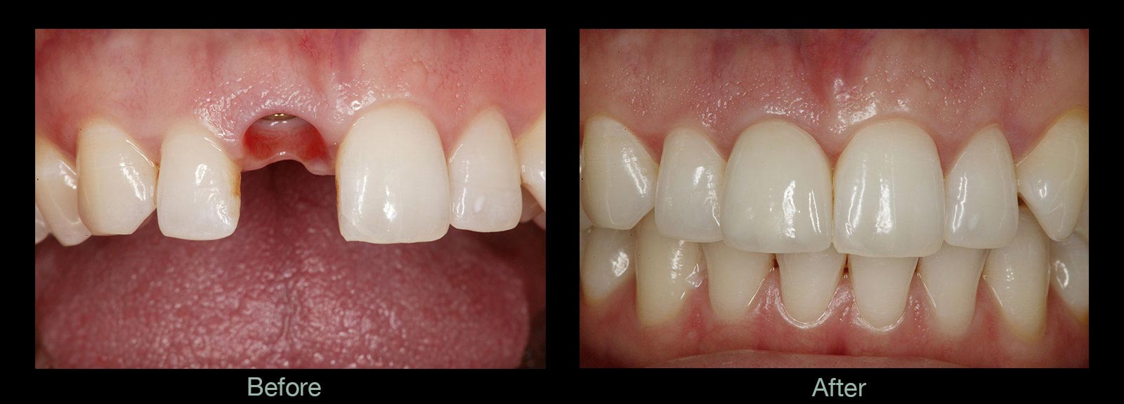
种植牙前后对比
陈小姐是广州某外企经理,去年,在一次意外摔倒事故中,把左侧门牙给磕掉了,这成了她的困扰,外企是个讲究形象的地方,陈小姐由于工作的关系,经常和各部门的人打交道,缺牙让她感觉形象大打折扣,还被人背后议论。于是,陈小姐在网上查找了很多缺失牙修复的信息,也去过一些医院,可是因为缺牙时间太久,陈小姐被拒绝了很多次。
在陈小姐无望的时候,朋友向她推荐了穗华口腔,穗华口腔拥有先进的3D靶向种植牙技术,而且环境优雅干净,陈小姐被这些所打动。随后来到穗华口腔,专家经过一系列检查后,专家依据陈小姐的要求,采用安全无痛、舒适美观、坚固耐用等优点,陈小姐采用了3D靶向种植牙技术。
3D靶向种植牙技术
3D靶向种植牙技术,是暨南大学多位种植名家多年积累的义齿修复技术和经验,与一系列国际前沿齿科设备结合的产物,应用意大利NewTom曲面断层扫描CBCT技术、德国WIELAND CAD/CAM计算机辅助设计与制作技术、美国Ambulanc笑气镇静镇痛系统、丹麦3shape 3D打印技术及3shape TRIOS激光扫描重建技术等,从5个方面打造穗华种植牙“40年预期留存率”超过90%的“长寿基因”!
1、定位更精准:CT3D颌面扫描、CAD设计方案,实现了种植体精准定位。
2、种植更安全:利用激光扫描和3D打印技术制作种植导板(用于精确指导种植体位置和方向的模板),医生在导板辅助下轻松手术,杜绝失误。
3、笑气镇痛更舒适:Ambulanc是目前欧美牙医的镇静镇痛技术,能让牙科恐惧症、晕血症和儿童患者轻松愉悦地“享受”牙科治疗。
4、治好牙周更长寿:种植牙患者大多有牙周病,而不治牙周病,种植牙迟早脱落。穗华口腔拥有华南领先的牙周科,跨科会诊确保高质量种植牙。
5、重建咬合更和谐:种植牙与邻牙不紧密易塞牙,与对牙不协调咀嚼无力。穗华口腔异常重视种植牙的咬合关系,力求让每一颗种植牙都与患者口腔和谐相处。
做完种植牙后,张小姐恢复了昔日的灿烂笑容,陈小姐的工作也是更加得心应手了。
本文章的阐述只能做为一个参考,无法针对您个人的实际状况,建议您与在线医生及时沟通,以便更好地帮助您解决问题。请向在线医生详细阐述您的问题,在了解您的状况后,医生将依据此来帮助解决您的困扰! 还可以拔打全国免费热线:020-62266666。百度100遍,不如咨询1次。