俗话说身体是革命的本钱,牙齿健康关乎身体健康,如果半口牙缺失,连饮食都困难,身体还能好吗?对于半口牙缺失的患者,穗华口腔专家推荐种植牙,种植牙是非常好的修复方式。那么,种植半口牙需要多长的时间?

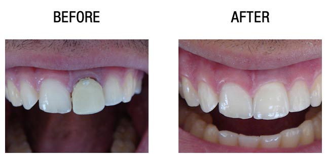
种植牙前后对比
穗华种植牙专家介绍,种植牙的时间是因患者自身情况而定的,一般情况下,植入一颗种植体的时间约为15~30分钟,但是每个人的情况都有所不同,如果需要植骨或结合其他治疗,则还要更长的时间。具体所需的时间应视个人治疗情况不同而异。
选择好的种植技术有利于缩短种植牙时间和减少术后并发症。那么选择哪种种植技术较好呢?
3D靶向种植牙技术,是暨南大学多位种植名家多年积累的义齿修复技术和经验,与一系列国际前沿齿科设备结合的产物,应用意大利NewTom曲面断层扫描CBCT技术、德国WIELAND CAD/CAM计算机辅助设计与制作技术、美国Ambulanc笑气镇静镇痛系统、丹麦3shape 3D打印技术及3shape TRIOS激光扫描重建技术等,从5个方面打造穗华种植牙“40年预期留存率”超过90%的“长寿基因”!
【3D靶向种植牙技术的优点】
1定位更精准:CT3D颌面扫描、CAD设计方案,实现了种植体精准定位。
2种植更安全:利用激光扫描和3D打印技术制作种植导板(用于精确指导种植体位置和方向的模板),医生在导板辅助下轻松手术,杜绝失误。
3笑气镇痛更舒适:Ambulanc是目前欧美牙医的镇静镇痛技术,能让牙科恐惧症、晕血症和儿童患者轻松愉悦地“享受”牙科治疗。
4治好牙周更长寿:种植牙患者大多有牙周病,而不治牙周病,种植牙迟早脱落。穗华口腔拥有华南领先的牙周科,跨科会诊确保高质量种植牙。
5重建咬合更和谐:种植牙与邻牙不紧密易塞牙,与对牙不协调咀嚼无力。穗华口腔异常重视种植牙的咬合关系,力求让每一颗种植牙都与患者口腔和谐相处。
【温馨提示】如果您还有其他疑问或需要帮助,还可以点击在线咨询,或者拔打免费电话:020—62266666。百度100遍,不如咨询1次。