3D靶向种植牙技术是众多种植技术中的一种,可以完美解决缺牙遗憾,种植出来的牙齿和真牙一样,没有任何区别,下面就让我们来详细了解一下。

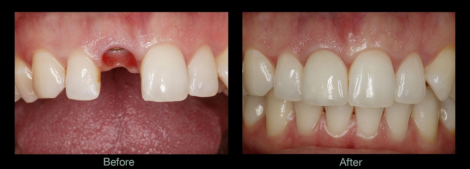
种植牙前后对比
一、什么是3D靶向种植牙技术
3D靶向种植牙技术,是暨南大学多位种植名家多年积累的义齿修复技术和经验,与一系列国际前沿齿科设备结合的产物,应用意大利NewTom曲面断层扫描CBCT技术、德国WIELAND CAD/CAM计算机辅助设计与制作技术、美国Ambulanc笑气镇静镇痛系统、丹麦3shape 3D打印技术及3shape TRIOS激光扫描重建技术等,从5个方面打造穗华种植牙“40年预期留存率”超过90%的“长寿基因”!?
二、3D靶向种植牙技术的优势?
1定位更精准:CT3D颌面扫描、CAD设计方案,实现了种植体精准定位。
2种植更安全:利用激光扫描和3D打印技术制作种植导板(用于精确指导种植体位置和方向的模板),医生在导板辅助下轻松手术,杜绝失误。
3笑气镇痛更舒适:Ambulanc是目前欧美牙医的镇静镇痛技术,能让牙科恐惧症、晕血症和儿童患者轻松愉悦地“享受”牙科治疗。
4治好牙周更长寿:种植牙患者大多有牙周病,而不治牙周病,种植牙迟早脱落。穗华口腔拥有华南领先的牙周科,跨科会诊确保高质量种植牙。
5重建咬合更和谐:种植牙与邻牙不紧密易塞牙,与对牙不协调咀嚼无力。穗华口腔异常重视种植牙的咬合关系,力求让每一颗种植牙都与患者口腔和谐相处。
三、3D靶向种植牙技术的适应人群:
1、缺失一颗牙,特别是缺失前牙,做种植牙可以和真牙一样,而且不用磨两边的牙齿。
2、缺失多个牙或全部牙,使用传统假牙有困难,功能不好,戴不牢的患者。
3、对假牙的美观、功能有更高要求患者。
4、缺牙周围的余留牙有问题,不能做传统假牙患者。
以上便是关于3D靶向种植牙技术的详细介绍,穗华口腔专家温馨提示,种植牙属于技术性很强的工作,为了保证种植牙的效果,一定要选择专业的正规的口腔专科。美丽的牙齿成就您的魅力笑容,穗华口腔可以为你圆美齿梦想!如果您还有其他疑问或需要帮助,还可以点击在线咨询,或者拔打免费电话:020—62266666。百度100遍,不如咨询1次。