前牙拥挤在牙颌畸形中是较为常见的。前牙拥挤的原因主要是颌骨前部发育不足,或整个面颌骨都发育不足;在某些情况下,也可能颌骨发育正常而牙冠过大。乳牙过早脱落,恒牙前移,也是造成前牙拥挤的重要原因。穗华口腔的专家还指出,前牙拥挤会对孩子的健康造成危害。

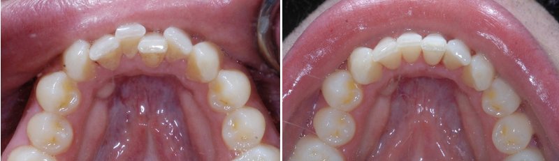
儿童牙齿拥挤矫正前后对比
穗华口腔专家介绍指出前牙拥挤的几点危害:
1、前牙轻度拥挤的儿童,畸形一般不显着。严重的拥挤,唇部会出现不规则的畸形。牙齿在牙弓上互相重叠、拥挤,两侧不对称,中线偏向一侧,在人们的印象中常留下口歪唇斜的错觉。
2、前牙拥挤使切牙的切割能力减弱,咬合关系错乱,牙齿容易因碰撞而受伤。同时,由于牙齿的自洁能力差,刷牙也不易刷净,牙缝中常有食物残渣,容易造成龋齿、牙周炎等疾患。
3、儿童在换牙期常有前牙拥挤现象,随着颌骨发育,可以自行调整、重新排列整齐。但拥挤严重、经过较长时间还不能自行调整过来的,应及时检查,以便尽快早点采取矫治措施。
如果发现儿童出现牙齿拥挤的症状,家长要尽早带小孩到专业的口腔医疗机构就诊。牙齿畸形的情况复杂多样,专家会根据检查的结果,为您的孩子制定合适的治疗方案。如果您的孩子抗拒就医,穗华口腔将用尽善尽美的服务打消您后顾之忧。
客户满意是穗华人永远的旗帜,在穗华,您可以享受整洁、明亮的单人独立诊室 ;在穗华,您可以阅览杂志 、免费上网、享受免费水果零食。这里没有拥挤、没有等待、没有医疗恐惧感。?
有些医院在完成治疗后便把患者放到一边不予理会,而穗华口腔则截然相反。我们有专人向患者仔细讲解术后护理的知识,包括治疗当天的注意事项、饮食上的注意事项,或者手把手地教您治疗后按摩的方法,务求让患者在短时间内得到非常好的恢复。
穗华口腔医院是您爱牙的放心之选
穗华口腔医院是拥有百年人文底蕴的暨南大学附属口腔医院临床教学医院,是广东省卫生厅批准成立的口腔专科医院,是集口腔诊疗、教学和科研为一体的现代化口腔综合医院,是您看牙的放心信赖之选!如果您还有其他疑问或需要帮助,还可以点击在线咨询,或者拔打免费热线:020—62266666。百度100遍,不如咨询1次。