牙齿拥挤让人的形象受损,让人感觉很尴尬,给生活带来很多不便,在现代每个人都希望拥有一口整齐美观的牙齿,那么不同情况的牙齿拥挤怎么矫正呢?下文让穗华口腔的专家来为我们解答。

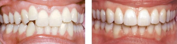
牙齿拥挤矫正前后对比
穗华口腔专家指出以下三种情况:
1、上下前牙严重拥挤的矫正:上下前牙严重拥挤时常可表现为尖牙唇向错位,同时反间隙不足,牙齿有不同程度的扭转,矫正设计多为拔除后进行。
3、对于重度的骨性错牙合畸形,单靠移动牙齿不能达到理想的效果,而需要进行整颌手术治疗。这时进行正畸治疗的主要目的是配合外科进行术前、术后矫治和保持。
2、尖牙唇向错位的矫治:尖牙唇向错位间隙不足俗称“虎牙”,是临床上常见的错位,在尖牙唇向错位拥挤超过牙冠宽度二分之一以上时,往往考虑减数拔牙矫治。
穗华口腔的专家提醒道,牙齿拥挤对人体健康危害大,广大患者要及时到专业的口腔医疗机构就医。专业的口腔专家会给患者制定效果更好的治疗方案,为您选择更合适的正畸技术。穗华口腔专家为广大患者推荐隐适美隐形矫正技术,数以万记的患者已经见证了它的良好疗效,隐适美隐形矫正技术具有以下四大优势:
1、个性化矫治。针对患者的个体特征进行矫治过程设计,并采用高科技技术进行矫治器的个性化制造,实现了牙颌畸形的个性化矫治。
2、透明光滑特质。矫治器透明、光滑的特质,隐蔽性很好,患者佩戴时美观舒适,极大减少了矫治过程中矫治器对口腔引起的并发症。
3、效果预知及控制。矫治前模拟显示整个矫治过程中牙颌的变化过程,提前预知效果,并能及时对矫治方案进行修改,大大缩短复诊时间。
4、自行摘戴易清洁。矫治器可以自行摘戴,与传统固定矫治相比,口腔卫生易于维护,不影响进食、刷牙、社交活动等日常生活。
穗华口腔是您爱牙的信赖之选
穗华口腔医院是拥有百年人文底蕴的暨南大学附属口腔医院临床教学医院,是广东省卫生厅批准成立的口腔专科医院,是集口腔诊疗、教学和科研为一体的现代化口腔综合医院,承诺永远以您的牙齿健康为首要因素,确保给您高性价比的口腔治疗,如果以上文章阐述无法针对您的具体情况,可在线咨询或拨打热线:020-62266666,“百度100遍,不如咨询一次”将您的牙齿问题告诉在线医生,专家将耐心为您分析解答。