牙齿拥挤在生活中很常见,不仅会影响人的容貌,还会影响人的交际,所以牙列拥挤的患者普遍缺乏自信,感到非常自卑。牙齿拥挤应该怎么治疗?穗华口腔的专家来为广大患者解答这个问题。

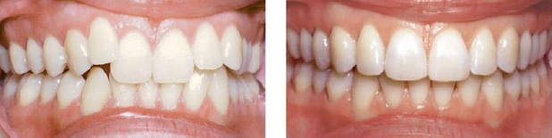
牙齿矫正前后对比
牙齿拥挤原因主要是颌骨前部发育不足,或整个面颌骨都发育不足;在某些情况下,也可能颌骨发育正常而牙冠过大。乳牙过早脱落,恒牙前移,也是造成拥挤的重要原因。
牙齿矫正的方法一直在进步。传统矫正牙齿拥挤的方法有多种,如扩大牙弓、减少牙齿的数目及将磨牙向后方推移等,从而达到矫治的目的。对某些拥挤严重而又无法直接利用矫治器进行矫正牙齿拥挤的,如牙弓内有龋齿、牙周病或严重错位的牙齿时,也可以直接将其拔除。以便留下适当的空隙,让其他牙齿重新排列整齐。
现在,穗华口腔引进当下牙齿矫正的先进技术---美国隐适美隐形矫正技术。深受广大患者的欢迎。自从推出以来反应良好,被广大患者所认同。
技术介绍:穗华口腔正畸科隐适美矫正是常见错牙合畸形、多学科联合矫治及正颌等疾病的治疗方法,较传统矫牙,具有矫治器隐形、佩戴舒适和复诊次数少等优势,在功能性、舒适度和美观度有提升。Invisalign隐适美牙套上有螺纹图案,具有哑光效果,牙齿即使在戴上牙套后也不会被发觉,实现真正的“隐形”效果。
隐适美治疗方案包括一系列无托槽隐形矫治器,厚度小于1mm,如同隐形眼镜,每套矫治器均量齿定做,每两周进行更换。随着矫治器的更换,牙齿逐步移动,直至矫正到方案所设计的理想位置。
穗华口腔医院是拥有百年人文底蕴的暨南大学附属口腔医院临床教学医院,是广东省卫生厅批准成立的口腔专科医院,是集口腔诊疗、教学和科研为一体的现代化口腔综合医院,承诺永远以您的牙齿健康为首要因素,确保给您高性价比的口腔治疗,如果以上文章阐述无法针对您的具体情况,可在线咨询或拨打热线:020-62266666,“百度100遍,不如咨询一次”将您的牙齿问题告诉在线医生,专家将耐心为您分析解答。