美容修复能够快速矫正成人畸形牙、色素牙问题,因而受到万千美牙者的青睐,那么做了美容修复技术后你满意吗?成功的美容修复怎么辨别?下文穗华口腔专家教你三看美容修复,教你辨别成功的美容修复是怎样的?

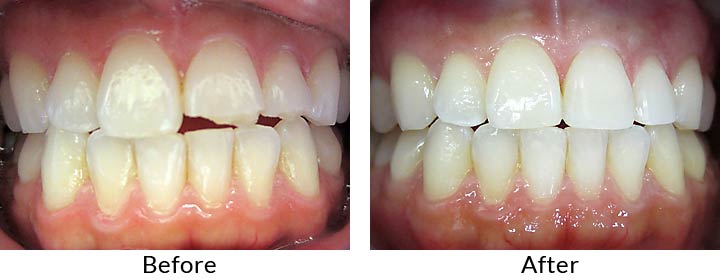
牙齿美容修复前后对比
1、看形态:
牙齿的形态正常,不肥大,唇舌无异物感。临床上通常有一个错误,就是美牙冠肥大,导致唇部和舌部的不适,觉得牙齿很厚,同时临面的增厚和牙齿的不良形态导致牙龈受到不良的刺激,导致牙龈的肿胀。这是因为未均匀精确切割所致,同时要对各种瓷冠的特点、性能要有清晰掌握,并做出个性化的牙体预备,在保证足够的瓷层厚度情况下保证尽小量的磨除牙体组织。
2、看颜色:
美牙冠色泽柔和,并非越白越好。为了遮盖金属内冠的颜色,必须要有一定厚度的瓷层。全瓷层越厚,美观效果越好。临床上牙齿预备不足,就容易出现全瓷美牙冠呈白垩色或者呆板、肥厚。但是为了追求美观效果,牙齿磨除量过大又容易造成牙神经的暴露,同时折断的可能性加大。所以必须掌握精确的牙体预备技巧,既保证有足够的瓷层厚度又不损伤牙神经。
3、看牙龈:
牙龈术中应该不出血,术后无红肿,充血,变色。牙龈的问题通常被忽视,失败病例大多都有牙龈问题。你可以观察一下做烤瓷患者的牙龈,如果没有红肿、出血就成功了一半。牙龈对疼痛不敏感,即使受到伤害也不会有剧烈的疼痛,但牙龈的健康是美容修复成功的一个重要指标,制作过程的每一步不到位对牙龈都有影响。术中在牙颈部预备时,如果不细心保护牙龈,常常导致牙龈的出血损伤,这样容易产生镶戴美牙冠后牙龈红肿、出血、萎缩,影响前牙的美观。同时也不利于高精度的取模。术后的牙龈红肿,充血,变色,大部分是由于烤瓷冠与牙齿的密合度不够所致,也有一部分是由于金属的过敏等原因导致。
穗华口腔是您爱牙的放心之选
穗华口腔医院是拥有百年人文底蕴的暨南大学附属口腔医院临床教学医院,是广东省卫生厅批准成立的口腔专科医院,是集口腔诊疗、教学和科研为一体的现代化口腔综合医院,承诺永远以顾客的牙齿健康为首要因素,确保给顾客高性价比的口腔治疗,如果您还有什么问题或需要帮助,可在线咨询或拨打热线:020-62266666,将您的问题告诉在线医生,专家将耐心为您分析解答,“百度100遍,不如咨询一次”。