据权威报导指出:牙齿完整的人寿命要比牙齿缺失的人长。如果我们的牙齿长期处于缺损的状态,不利于进食,终究会伤害到我们的身体健康,那么牙齿缺失对健康有什么影响呢?下文请穗华口腔专家为大家介绍一下。

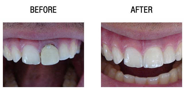
种植牙前后对比
穗华口腔的专家为我们指出下面几点:
1、咀嚼功能有所下降:牙齿缺损,牙齿咀嚼食物不能够正常的咀嚼,使得吞咽食物的时候口腔很难闭合,这样就会影响到消化功能的退化,不利于食物的消化,这就可以证明说牙齿缺损影响胃肠消化功能。
2、牙齿缺损影响着发音:由于牙齿的缺损,对发音上会有所改变,这就给发音造成了一定的障碍。
3、牙齿一旦缺损就会引发一些其它的疾病:牙周病的引发,要是牙齿脱落之后没有及时的进行牙齿的修复的话,对邻牙有很大的伤害,这样就会失去跟邻牙之间的解除关系,牙齿的排列不齐等一系列的问题就会慢慢的出现,这就会导致牙周病的发病。
4、对外表的形象受到了影响:牙齿缺失较多时,余牙倾倒移位可造成咬关系紊乱,阻碍下颌前伸或倾向运动,咀嚼肌群张力出现不平衡。咀嚼时关节疼痛、张口受限、关节弹呼等颞下颌关节紊乱综合征等是其临床上常见的。
就如专家所说的,牙齿对缺失对我们的危害巨大。所以小编为大家带来牙齿缺失的治疗方法。
3D靶向种植牙技术,是暨南大学多位种植名家多年积累的义齿修复技术和经验,与一系列国际前沿齿科设备结合的产物,应用意大利NewTom曲面断层扫描CBCT技术、德国WIELAND CAD/CAM计算机辅助设计与制作技术、美国Ambulanc笑气镇静镇痛系统、丹麦3shape 3D打印技术及3shape TRIOS激光扫描重建技术等,从5个方面打造穗华种植牙“40年预期留存率”超过90%的“长寿基因”!??
穗华口腔是您爱牙的放心之选
穗华口腔医院是拥有百年人文底蕴的暨南大学附属口腔医院临床教学医院,是广东省卫生厅批准成立的口腔专科医院,是集口腔诊疗、教学和科研为一体的现代化口腔综合医院,承诺永远以顾客的牙齿健康为必要因素,确保给顾客高性价比的口腔治疗,如果您还有什么问题或需要帮助,可在线咨询或拨打热线:020-62266666,将您的问题告诉在线医生,专家将耐心为您分析解答,“百度100遍,不如咨询一次”。