种植牙虽然是一个小手术,但是术后的护理还是很重要的。那么,种植牙术后需要注意什么事项?下文请穗华口腔专家来为我们解答。

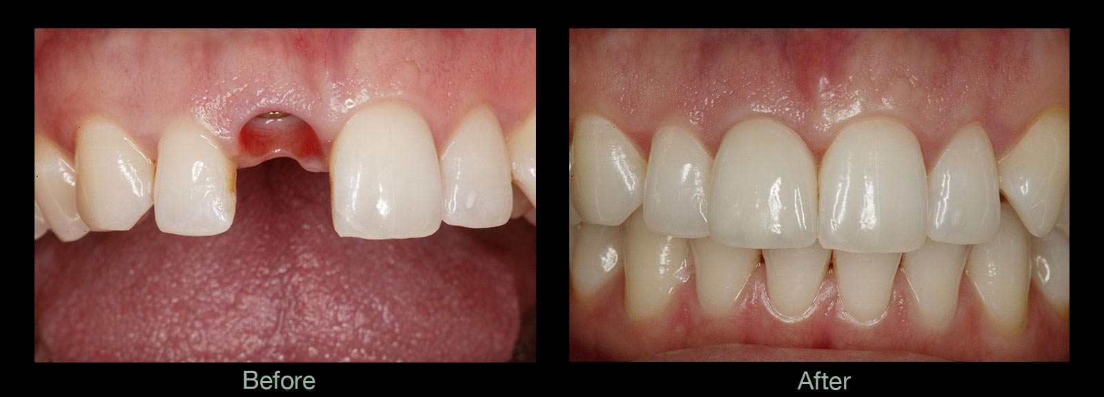
种植牙前后对比
穗华口腔专家指出种植牙术后的注意事项如下面所述:
1.漱口:首先在手术后的两个小时后患者就可以喝水,但是在24小时内不能刷牙、漱口,可以进食食物,但是之后要用漱口水漱口。
2.药物:在手术之后必须使用抗生素类药物,为了防止感染。
3.不良反应:每位患者的体质都不一样,在术后会有一些短暂性的不良反映,也就是适应过程,但是时间相对较短,很快就会恢复。
牙齿种植的效果会影响我们以后的生活。所以牙齿种植手术切莫小视,牙科专家提醒牙齿不齐的患者要到正规的口腔医疗机构就医。
穗华口腔以人为本,以客为尊,前台导诊特制5S服务标准,Smile(亲切微笑)、Snug(舒适贴心)、Specialteam(专享服务)、Standardization(国际标准)、Satisfaction(顾客满意),让顾客切实地享受到穗华诚挚的服务。
温馨提醒:关于牙齿种植的注意事项这个问题,上文已经为您作出解答。如果你在阅读文章时碰到不清楚的地方,欢迎点击在线咨询与我们专家进行一对一的交流,您还可以在线挂号,为您节省宝贵的时间。