在生活中,由于不注重口腔健康保健,造成牙齿缺失的人群不在少数,那么牙齿缺失会给人们生活带来不利的影响,缺牙患者们都深有体会,那么牙齿缺失到底坏在哪里?下文我们请来穗华口腔的专家为您讲解。

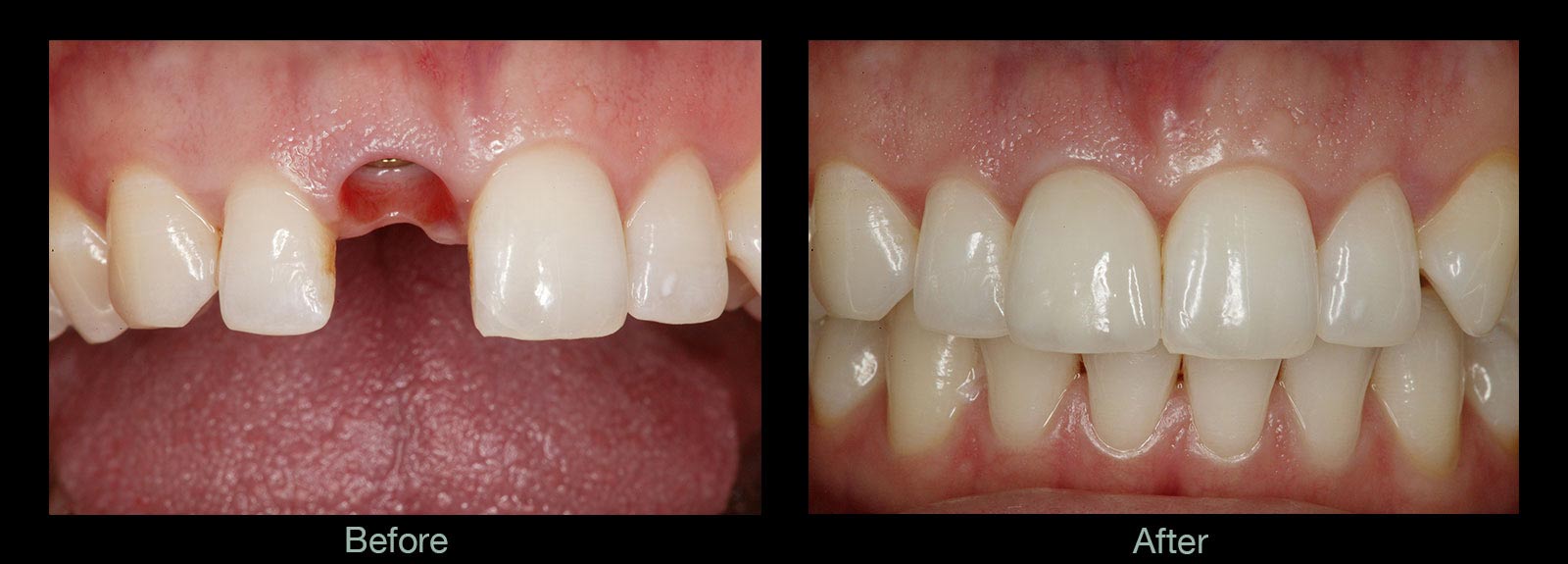
种植牙前后对比
1、牙齿缺失影响口腔关节:当牙齿缺失较多时,剩余牙齿倾斜、移位或向对侧伸长等现象,使咬合关系紊乱,阻碍了下颌骨向前伸或左右运动。有时因一侧缺牙,用另一侧咀嚼,形成偏侧咀嚼习惯,肌肉出现张力不平衡,长此下去肌肉会出现疲劳,髁突后移,关节盘水肿,关节区会感到不适,甚至出现疼痛、张不开口、关节弹响等症状,临床上称为颞下颌关节紊乱症。
2、牙齿缺失造成面部变形:缺颗牙齿还只是影响一个人的社交活动,要是牙齿全部缺失,那可就对整个脸型发生严重影响了。牙齿全部缺失后,由于上、下颌骨间失去了支持,而且牙槽骨或整个颌骨因缺乏正常咀嚼力量的刺激,将会逐渐蜕变、萎缩,造成下巴的长度变短,面颊部和周围肌肉松弛,唇、颊部内陷,口角下垂,面部变形及皱纹增多,整个人看起来要比同龄人老得多。
3D靶向种植牙技术,是暨南大学多位种植名家多年积累的义齿修复技术和经验,与一系列国际前沿齿科设备结合的产物,应用意大利NewTom曲面断层扫描CBCT技术、德国WIELAND CAD/CAM计算机辅助设计与制作技术、美国Ambulanc笑气镇静镇痛系统、丹麦3shape 3D打印技术及3shape TRIOS激光扫描重建技术等,从5个方面打造穗华种植牙“40年预期留存率”超过90%的“长寿基因”!?
穗华口腔是您爱牙的放心之选
穗华口腔医院是拥有百年人文底蕴的暨南大学附属口腔医院临床教学医院,是广东省卫生厅批准成立的口腔专科医院,是集口腔诊疗、教学和科研为一体的现代化口腔综合医院,承诺永远以顾客的牙齿健康为必要因素,确保给顾客高性价比的口腔治疗,如果您还有什么问题或需要帮助,可在线咨询或拨打热线:020-62266666,将您的问题告诉在线医生,专家不仅能耐心为您分析解答,还能提供预约挂号的服务,让你就诊更方便快捷,“百度100遍,不如咨询一次”。