修复技术牙齿缺损而不是缺失,不能种植牙,那么可以使用牙齿修复方法补回缺损的地方,在众多牙齿修复方法中,穗华口腔专家推荐德国CAD/CAM即刻修复技术,完好解决牙齿缺损。

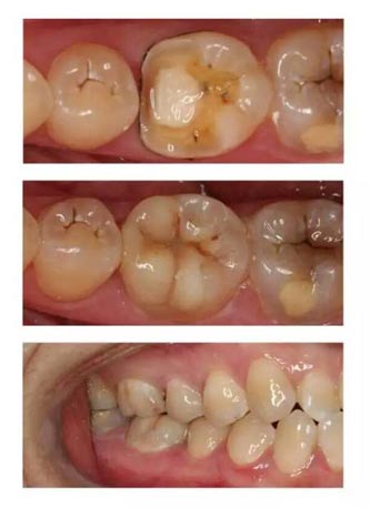
牙齿修复前后对比
德国CAD/CAM即刻修复技术的优点:
修复体精准定制:无需依赖传统修复体制作模式,避免口内制取印模、石膏灌制模型、修整模型、修整戴型过程中的误差和不便,确保修复体高度贴合口腔牙齿,保证了义齿内冠的精确性和优良的边缘密闭性,大大减少了修复后基牙的发病率。
治疗时间快:数字取模和传输系统,口腔数据能快速传到技工室,修复体能够在极短的时间内制作完成,相比传统技术明显缩短治疗周期,快可以在2小时内完成修复,同时也有利于牙龈组织成形,迅速恢复患者的美观和部分咬合功能。
穗华口腔是您爱牙的放心之选
穗华口腔医院是拥有百年人文底蕴的暨南大学附属口腔医院临床教学医院,是广东省卫生厅批准成立的口腔专科医院,是集口腔诊疗、教学和科研为一体的现代化口腔综合医院,承诺永远以顾客的牙齿健康为必要因素,确保给顾客高性价比的口腔治疗,如果您还有什么问题或需要帮助,可在线咨询或拨打热线:020-62266666,将您的问题告诉在线医生,专家不仅能耐心为您分析解答,还能提供预约挂号的服务,让你就诊更方便快捷,“百度100遍,不如咨询一次”。