种植牙是现在牙齿却是很好的修复技术之一,比其他牙齿修复方式更有优势,可以替代天然牙行使牙齿咀嚼功能,因此很多人都选择种植牙,有读者朋友问种植牙有什么利与弊,为了解答读者朋友的疑问,下文请穗华口腔专家为大家介绍一下。
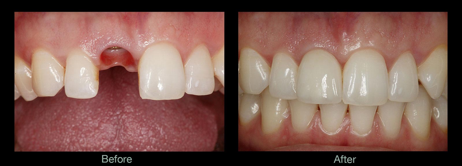
种植前后对比
穗华口腔专家介绍种植牙的优点主要分为几点:
一、种植牙精巧美观,其逼真的效果可以达到以假乱真的程度。
二、种植牙能维持现在脸形。如果恢复咀嚼功能,就能维持颚周围肌肉的弹力,所以能寻回更年轻时的样子。尤其是恢复门牙功能的时候效果更明显。
三、种植牙的技术已相当成熟,许多品牌的种植体系的五年成功率都达到了95%以上,也就是说只要注意口腔卫生,种植牙在口腔内可以保留相当长的时间。
四、种植牙不需要基牙,也就是不用磨改口腔内的“好牙”,不会对口腔内的真牙造成任何伤害,这是种植牙大的好处。
五、种植牙的咀嚼效率接近真牙,咀嚼时没有不便。若是装假牙每当嚼食物时咀嚼力便传到牙龈上引起疼痛,说话或嚼食物时经常脱落,所以不方便。但是植牙就可以完全避免这种问题。
种植牙的弊处有哪些?
穗华口腔专家还介绍说种植牙如果处理不好,可能发生几点弊处:
1、牙龈炎:是由于口腔卫生不良,菌斑刺激所致,此时牙龈组织尚无明显增生。
2、穿孔:在愈合阶段,覆盖种植体的牙龈组织发生穿孔,究其原因可能为缝合时瓣的张力过大,缝合不良;或是缝线残留刺激肉芽组织增生;还可能为修复体的压迫,产生牙龈的褥疮性溃疡。
3、瘘管形成:粘膜上的瘘管与基台或种植体周围的炎症有关。多发于龈组织覆盖基台与桥结合部的病例中;可以采取手术刮治的方法治疗。
4、增生性龈炎:由于龈组织覆盖或紧贴种植基台与桥的连接部,造成局部卫生不良,产生龈组织的增生性炎症。增生性龈炎一般采用手术的方法加以处理。
5.进行性边缘骨吸收:局部炎症或种植超负荷及中心螺栓折断引起的种植体周围骨吸收。洁治清除菌斑,针对病因处理。
6、其他损伤:主要是手术准备设计不好造成种植体穿入上颌窦,鼻底,下齿槽神经或邻牙损伤,甚至下颌骨骨折。
7、种植体折断。
8、种植体松动。
穗华口腔是您爱牙的放心之选
穗华口腔医院是拥有百年人文底蕴的暨南大学附属口腔医院临床教学医院,是广东省卫生厅批准成立的口腔专科医院,是集口腔诊疗、教学和科研为一体的现代化口腔综合医院,承诺永远以顾客的牙齿健康为必要因素,确保给顾客高性价比的口腔治疗,如果您还有什么问题或需要帮助,可在线咨询或拨打热线:020-62266666,将您的问题告诉在线医生,专家不仅能耐心为您分析解答,还能提供预约挂号的服务,让你就诊更方便快捷,“百度100遍,不如咨询一次”。