牙齿矫正可以塑造牙齿健康美观的形态,解决一些人的苦恼,受到广大爱美者的青睐,那么牙齿矫正会有后遗症吗?下文请穗华口腔专家来为大家介绍一下。

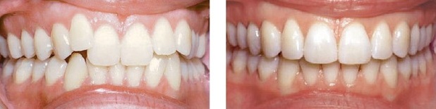
牙齿拥挤矫正前后对比
广州穗华口腔专家指出,牙齿矫正一定要到正规的医院去做,这样才不会留下后遗症。
在牙齿矫正过程中可能会有牙齿松动的问题。大家也不必担心,因为牙齿矫正后,牙齿就会在新的地方安家落户,周围的组织也会逐渐的稳定下来,牙齿松动的情况就会就此打住。如果在牙齿矫正后,做好叩齿运动,帮助牙齿以及周围的组织尽快适应、重建,那么牙齿就不会松动的。
还有就是在牙齿矫正过程中可能会影响、损伤牙槽骨,因为在牙齿矫正时,要移动牙齿,这样会带动牙周组织,使得牙槽骨可能会变低。损伤牙槽骨在矫正中可能会有影响,但矫正牙齿过后一段时间,一般就不会有什么问题了。
广州穗华口腔专家提醒:牙齿矫正越早越好,选择牙齿矫正医院需谨慎。很多人因为贪图便宜、便捷,不愿意去正规的医院做牙齿矫正,而是选择就近的诊所。很多不正规的牙齿矫正过程中,给牙齿施加的压力过大,从而导致牙神经损坏,这对患者是不利的。
穗华口腔是您爱牙的放心之选
穗华口腔医院是拥有百年人文底蕴的暨南大学附属口腔医院临床教学医院,是广东省卫生厅批准成立的口腔专科医院,是集口腔诊疗、教学和科研为一体的现代化口腔综合医院,承诺永远以顾客的牙齿健康为必要因素,确保给顾客高性价比的口腔治疗,如果您还有什么问题或需要帮助,可在线咨询或拨打热线:020-62266666,将您的问题告诉在线医生,专家不仅能耐心为您分析解答,还能提供预约挂号的服务,让你就诊更方便快捷,“百度100遍,不如咨询一次”。