关于假牙,也许大家都有所印象。但可能不是人人都知道,假牙也分为很多种类,每个种类都不不同,价格也不一样。那么假牙有哪些种类?下文请穗华口腔医院专家为大家介绍一下。
假牙的种类
穗华口腔专家介绍:
假牙种类可以分为固定假牙和种植牙。其中,种植牙的分类尤其复杂。
根据材料可分为金属种植体、陶瓷类种植体、碳素类种植体、高分子聚合物种植体和复合材料种植体。
根据其所需的种植手术次数可分为一次植入种植体和二次植入种植体。可按种植体在修复体结构中的位置分为游离端种植体、中间种植体和全颌种植体。
跟进材料的制成形态可分为圆柱、叶状、锚状等种植体。一般较多地以种植体深入机体组织的层次将其分为粘膜内种植体、骨膜下种植体、根管内种植体和骨内种植体等。
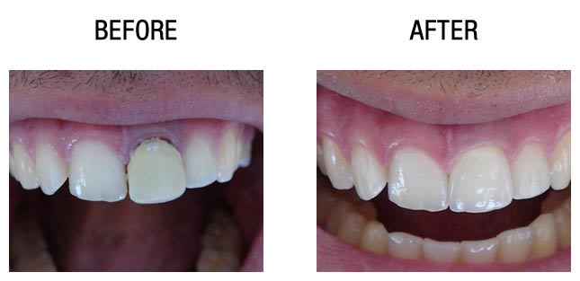
3D靶向种植牙技术,是暨南大学多位种植名家多年积累的义齿修复技术和经验,与一系列国际前沿齿科设备结合的产物,应用意大利NewTom曲面断层扫描CBCT技术、德国WIELAND CAD/CAM计算机辅助设计与制作技术、美国Ambulanc笑气镇静镇痛系统、丹麦3shape 3D打印技术及3shape TRIOS激光扫描重建技术等,从5个方面打造穗华种植牙“40年预期留存率”超过90%的“长寿基因”!
温馨提示:
在做种植牙之前做好充分的准备和认识,更有利于种植牙手术的顺利进行。建议有种植牙需求的顾客朋友,去正规的专业口腔医院进行咨询了解。
穗华口腔是您爱牙的放心之选
穗华口腔医院是拥有百年人文底蕴的暨南大学附属口腔医院临床教学医院,是广东省卫生厅批准成立的口腔专科医院,是集口腔诊疗、教学和科研为一体的现代化口腔综合医院,组建了由多位博士生导师和国内外知名专家构成的专业口腔专家队伍,承诺永远以顾客的牙齿健康为必要因素,确保给顾客高性价比的口腔治疗。
温馨提醒:牙齿问题是不容忽视的问题,对于牙齿问题,我们应该尽早进行治疗,以免给我们的生活造成不必要的麻烦和困扰。如果您还有什么问题或需要帮助,可在线咨询或拨打热线:020-62266666,将您的问题告诉在线医生,专家不仅能耐心为您分析解答,还能提供预约挂号的服务,让你就诊更方便快捷,“百度100遍,不如咨询一次”。