想必许多有牙缺失苦恼的顾客都思考过这个问题。事实上,镶牙和种植牙都可以解决牙齿缺失的问题,但两者有着明显的不同。那么镶牙和种植牙有什么区别?下文请穗华口腔医院专家为大家介绍一下。
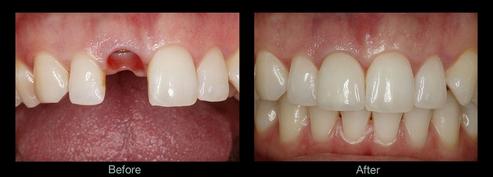
穗华口腔专家介绍:?牙齿缺失是一件让人深感遗憾的事情。为了不影响正常饮食与美观,穗华口腔推选大家进行牙齿修复,其中种植牙与镶牙便是受欢迎度较高的两种修复办法。传统的镶牙是利用吸附或者外固定等方法安装的义齿。而种植牙是用组织相容性良好的钛合金螺丝种植在牙槽骨里,然后在此上装义齿。
以前,人们牙齿脱落后只能镶假牙。传统假牙由于仅靠牙床粘膜软组织的支持,固定力量薄弱,不但假牙容易松却,咀嚼功能也不佳,仅能恢复正常功能的三四成而已。加上如果牙龈受力不当,牙槽骨将逐渐萎缩,假牙效果也越来越差。而现在,人们则多了一个新选择:种植牙。
种植牙齿,就是在人的牙床内,以外科手术“种”进钛合金牙根,待金属牙根与周围的骨结合在一起后再在牙根上镶上牙冠。人工种植牙不仅貌似天然牙齿,而且还具有体积小、损伤少、不需要活动假牙必备的基托与卡环,没有大面积塑料基托导致的味觉迟钝与不舒适感等优点。人工种植牙无移动或咀嚼功能不好的情况,而且在植入部位的牙槽骨,种植牙对其形成功能性刺激,延缓了牙槽骨的吸收。
穗华口腔是您爱牙的放心之选
穗华口腔医院是拥有百年人文底蕴的
穗华口腔医院临床教学医院,是广东省卫生厅批准成立的口腔专科医院,是集口腔诊疗、教学和科研为一体的现代化口腔综合医院,组建了由多位博士生导师和国内外知名专家构成的专业口腔专家队伍,承诺永远以顾客的牙齿健康为必要因素,确保给顾客高性价比的口腔治疗。
温馨提醒:在做种植牙之前做好充分的准备和认识,更有利于种植牙手术的顺利进行。建议有种植牙需求的顾客朋友,去正规的专业口腔医院进行咨询了解。如果您还有什么问题或需要帮助,可在线咨询或拨打热线:020-62266666,将您的问题告诉在线医生,专家不仅能耐心为您分析解答,还能提供预约挂号的服务,让你就诊更方便快捷,“百度100遍,不如咨询一次”。