牙列拥挤必须通过矫正治疗,才能使牙齿变得健康美观,然而很多牙列拥挤朋友都担心牙列拥挤矫正会痛,不能下定决定治疗,那么牙列拥挤矫正会痛吗?针对这个问题,下文为大家揭晓一下。

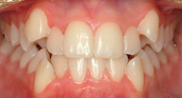
牙列拥挤
牙列拥挤矫正会痛吗?在做矫正初期,牙齿会感到疼痛、酸胀,这都属于正常现象,只要平时不吃刺激性的食物,随时保持口腔卫生清洁就可以了。
当牙齿受到轻微而持续的外力时,牙齿是不会感觉疼痛的,但是牙齿周围的牙周膜受到挤压、拉扯。牙周膜内除了连接牙齿与牙槽骨的牙周韧带外,还有丰富的神经、血管与细胞。当牙周组织受力后牙周韧带会释放出一些神经传导物质来刺激神经,传导给大脑。大概安装牙齿矫正器后5-6小时,会有较为明显的感觉。
选择正规医院,挑选好医师,给自己的牙齿矫正。穗华口腔医院是拥有百年人文底蕴的暨南大学附属口腔医院临床教学医院,是广东省卫生厅批准成立的口腔专科医院,是集口腔诊疗、教学和科研为一体的现代化口腔综合医院,是您看牙的放心信赖之选!
由于篇幅有限,本文就为大家介绍这么多,关于牙列拥挤矫正会痛吗?如果您还有疑问或想了解更多,可点击在线咨询,届时与我院专家一对一沟通交流。