你还在担心烤瓷牙美牙颜色假,出现牙龈变黑的问题吗?如果是,那你就不必担心了,全瓷牙美容修复的出现,完美解决牙龈变黑问题,让快速美牙不再瑕疵毕露,口腔健康亦远离安全隐患。


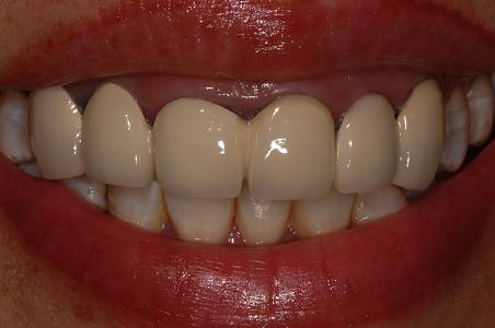
左烤瓷牙与右全瓷牙对比
烤瓷牙由于金属材料不稳定,常常给牙龈造成伤害,如牙龈变黑,牙龈出血,萎缩,据一些做过烤瓷牙修复的患者表述:刚做好时没什么问题,很好看,花钱也少,但是一两年后,问题就出来了,烤瓷牙金属材料渗透牙龈造成牙齿和牙龈部分有一条黑线,非常影响美观。因此口腔医疗界一直在努力改变这一状态。牙齿美容修复技术的出现,让牙齿修复更加美观逼真,也更加健康环保,尤其是目前国际口腔界流行的是一种的无金属内冠的全瓷牙,更是受到各界爱美人士的青睐。
全瓷牙因其卓越的性能在一些发达国家应用相当广泛,也是患者的修复材料。其优越的性能表现在:
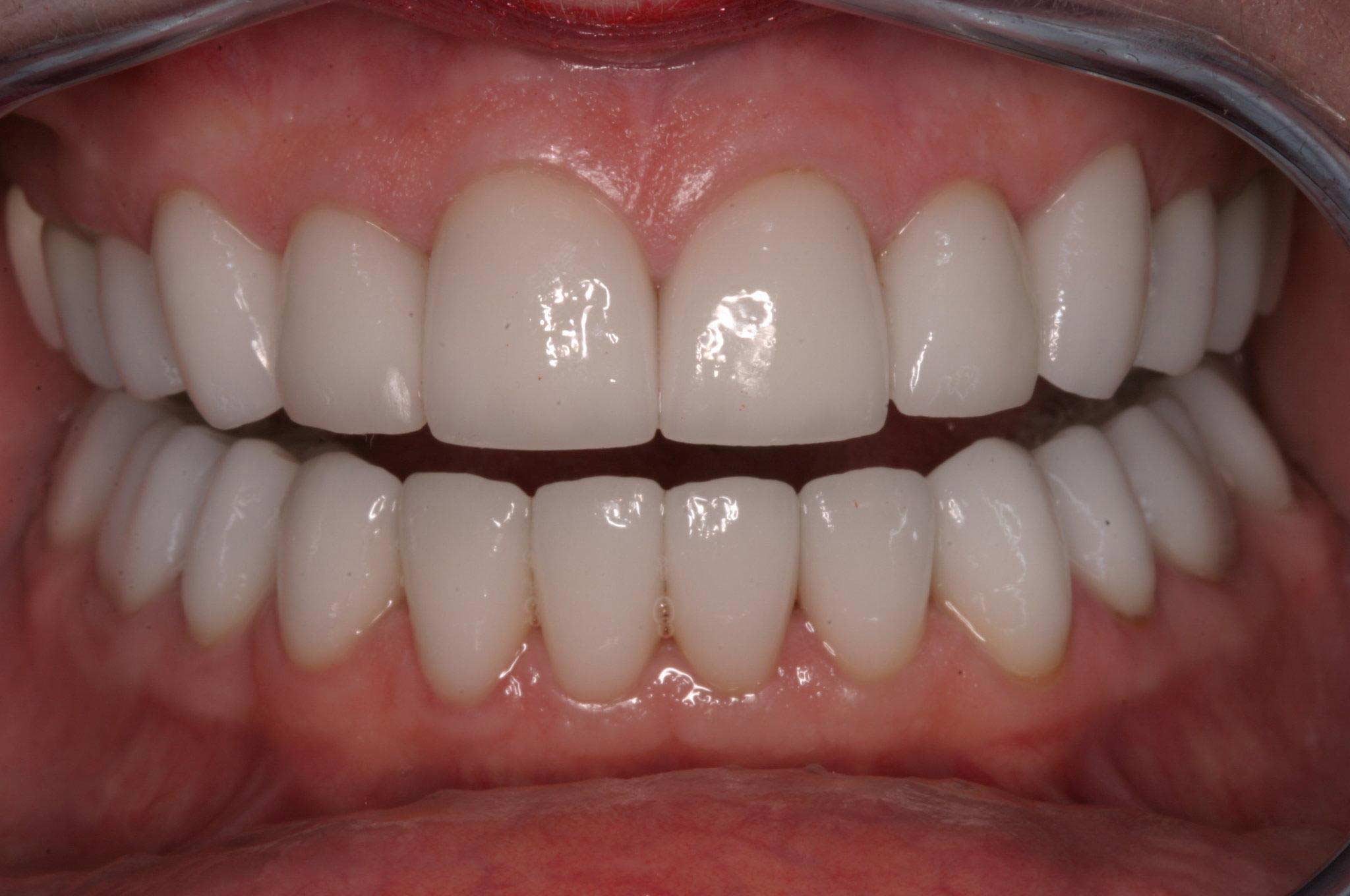
1、牙龈边缘无黑线,无厚重感,无牙龈红肿出血现象,让你真正感觉到烤瓷牙是从你自己的牙龈里长出来的。
2、与真牙相匹配的透光性,不再有在灯光下“青牙闪闪”的尴尬。
3、与金属烤瓷牙相媲美的抗压强度,完全不必担心瓷崩裂的现象。
4、无不良金属离子渗出影响你健康。
5、磨牙较少,更大程度地保留自己的牙齿组织。
选择一家好的医院 挑选好的医师
穗华口腔医院是拥有百年人文底蕴的暨南大学附属口腔医院临床教学医院,是广东省卫生厅批准成立的口腔专科医院,是集口腔诊疗、教学和科研为一体的现代化口腔综合医院,是您看牙的放心信赖之选!以上就是对龅牙治疗方法的介绍,由于篇幅有限,如果您还有其他疑问或需要帮助,还可以点击在线咨询,或者拔打免费热线:020-62266666。百度100遍,不如咨询1次。