在现代,拥有一口健康美观的牙齿,是对自己形象的提升,自我形象的展现,但是如果牙齿发黄发黑,是对自我形象的严重打击。黑黄牙齿通过美白去改正,使牙齿焕发动人光彩,那么黑黄牙齿去哪个牙科医院好?下面请穗华口腔专家为我们做详细的介绍。

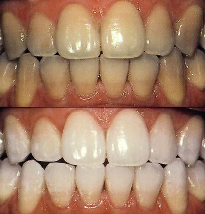
黑黄牙齿美白前后对比
专家介绍
不同牙齿颜色的程度使用的牙齿美白方法也不一样,从某些方面来说,轻度的可以用洗牙的方式,但是洗牙并不能保证一次性解决你的牙黄问题,它只是让牙齿恢复了之前的颜色,重度的牙齿问题,就需要采用冷光美白的技术来美白牙齿了,但是有些重度的内源性牙齿问题,还需要采用美牙冠的方式。
技术解析
一、冷光美白
穗华口腔引进的冷光美白技术,它是在冷光美白的基础上,氧化氢加硝酸钾和氟化物结合的美白方式,打破了传统冷光美白的局限性,克服了传统冷光美白时牙齿酸痛,美白后牙龈过敏的窘境,具有高效快速、保护牙齿、舒适无痛、效果持久等优点。
二、美容修复
穗华口腔引进牙齿美容技术――美容修复技术,具有美牙不拔牙,无需戴牙套,无痛苦,时间短(1小时),牙齿坚固,不脱落等优势,正真做到了一次性修复,终身保障的效果。
温馨提示:黑黄牙齿美白去哪个牙科医院好?选择穗华口腔错不了,这里不仅有技术精湛的专家团队和先进的医疗设备,还有优雅、温馨的诊疗环境,让您在这里放心就医,如果您还有其他疑问或需要帮助,可以点击在线咨询,还可以拔打全国免费热线:020-62266666。百度100遍,不如咨询1次。