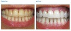
去洗牙多少钱?

洗牙能清除牙结石,预防牙周炎,让牙齿保持洁净,暨南大学穗华口腔专家说:...【详细】
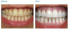
去洗牙要多少钱?

拥有一口洁白的牙齿,是我们每个人所希望的,能让笑容更加亲切可人,散发出...【详细】
医学科学研究与临床应用团组召开首次教授学术

为促进医学科学研究与应用团组的学术交流与合作,提升团组的协同创新水平,...【详细】
洗个牙多少钱?

拥有一口皓白的牙齿,能展露迷人的微笑,散发出吸引人的魅力,洗牙能让牙齿...【详细】
口腔洗牙多少钱?

拥有一口皓白的牙齿,能展露迷人的微笑,散发出吸引人的魅力,洗牙能让牙齿...【详细】
洗牙大概需要多少钱?

洗牙能防治牙结石,预防牙周病,能让牙齿洁净,让人展露出迷人的微笑,散发...【详细】
洗牙得多少钱?

洗牙有利于维护口腔清洁和健康,让人拥有一口皓白的牙齿,展露出迷人的微笑...【详细】
洗牙多少钱?

洗牙已经成为现代牙齿保健的一种常见方式,拥有一口皓白的牙齿,能展露迷人...【详细】
洗牙美白多少钱?

许多人希望自己能拥有一口美白的牙齿,现在做牙齿美容修复的方式越来越多,...【详细】
美白牙齿多少钱?

许多人希望自己能拥有一口美白的牙齿,现在做牙齿美容修复的方式越来越多,...【详细】
版权:广州穗华口腔医院
备案号:粤ICP备15046903号
医疗广告审查证明文号:粤(A)广(2025)第1188号