洗牙多长时间洗完

洗牙时一种常见的牙齿保健方法,不仅能去除菌斑和牙石,而且还能抑制口腔炎症...【详细】
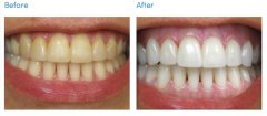
喷砂洗牙过程

在生活中,人们对洗牙的认识存在许多误区,从而影响了正常口腔保健的效果。...【详细】
去医院洗牙流程

洗牙不仅是为了牙齿美白,还能预防牙结石,预防口腔疾病的发生。气动喷砂洗...【详细】
洗牙的步骤

在生活中,人们对洗牙的认识存在许多误区,从而影响了正常口腔保健的效果。...【详细】
洗牙的流程

洗牙不仅是为了牙齿美白,还能预防牙结石,预防口腔疾病的发生。气动喷砂洗...【详细】
洗牙的全过程

洗牙成为现代都市人不可缺少的牙齿保健项目,不仅可以美白牙齿,还能预防牙...【详细】
气动喷砂洗牙价格

白皙的牙齿让我们的形象更好,体现出我们笑容的魅力,洗牙不但能预防牙结石...【详细】
气动喷砂洗牙费用

白皙的牙齿让我们的形象更好,体现出我们笑容的魅力,洗牙不但能预防牙结石...【详细】
气动喷砂洗牙一般多少钱?

白皙的牙齿让我们的形象更好,体现出我们笑容的魅力,洗牙不但能预防牙结石...【详细】
气动喷砂洗牙大概多少钱?

白皙的牙齿让我们的形象更好,体现出我们笑容的魅力,洗牙不但能预防牙结石...【详细】
版权:广州穗华口腔医院
备案号:粤ICP备15046903号
医疗广告审查证明文号:粤(A)广(2025)第1188号