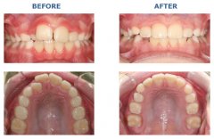
成人龅牙矫正的好方法是什么?

龅牙对人们的面部美观有着严重的影响,成人龅牙矫正的好方法是什么?随着科...【详细】
牙齿矫正后反弹怎么办?

通过矫正可以使一口参差不齐的牙齿变得整齐美观,然而不少人都担心牙齿矫正...【详细】
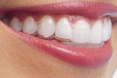
牙齿隐形矫正需要多少钱?

由于牙齿矫正拥有着不易为人察觉,舒适美观,易清洁等众多优点,牙齿隐形矫...【详细】
广州隐适美矫正价格是多少?

随着人们对自身美的要求不断提高,矫正牙齿越来越受人关注。其中, 隐适美...【详细】
时代天使隐形矫正多少钱?

随着人们对自身美的要求不断提高,矫正牙齿越来越受人关注,很多牙齿畸形患...【详细】
地包天手术矫正价格是多少?

地包天是一种对当事人来说却是非常大的苦恼,为了恢复自己的容貌,维持口腔...【详细】
龅牙矫正大概要多少钱?

龅牙,让人们往往没有了自信心,笑得也不欢快。为此,许多顾客选择了龅牙矫...【详细】
龅牙矫正需要多长时间?

在现实生活中,龅牙是一种比较常见的牙齿畸形现象。龅牙对个人的面容有着很...【详细】
英国校友会回访母校 积极推动中英合作

12月1日下午,暨南大学英国校友会访问团回访母校,参观了校史馆,并与暨大招...【详细】
3D靶向种植牙怎么样?

牙齿缺失了怎么办?镶牙、假牙还是烤瓷牙?如果你只知道这些,那你就OUT了。...【详细】
版权:广州穗华口腔医院
备案号:粤ICP备15046903号
医疗广告审查证明文号:粤(A)广(2025)第1188号