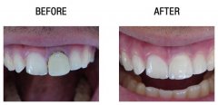
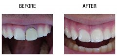
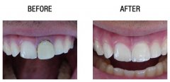
镶牙是什么?

镶牙,主要是针对牙齿缺损、牙齿缺失后的治疗工作,如嵌体、全冠、义齿等,...【详细】
广州镶牙多少钱?

镶牙是一种常规的牙齿修复方式,可以很好的恢复人们的牙齿缺失、缺损等情况...【详细】
广州镶牙哪里好?

牙齿缺失会对我们的个人形象,生活,工作等带来很多不良影响。因此不少人牙...【详细】
劣质镶牙会导致口腔癌吗?

在我国口腔癌并不少见,其发生率约占全身恶性肿瘤的1.75%~5.18%,并呈逐年上...【详细】
拔牙后要立刻镶牙吗?

很多人因为牙齿损坏等情况需要拔牙,有朋友问拔牙后要立刻镶牙吗?对于这个...【详细】
镶牙哪种义齿好?

牙齿缺失后需要我们进行镶牙修复,而传统的镶牙主要分为活动义齿与固定义齿...【详细】
镶牙有什么基本常识?

镶牙很多人都听过,它算是牙齿缺失患者的福音,很多牙齿缺失患者想要镶牙,...【详细】
镶牙后如何清洁牙齿?

镶牙成为众多牙缺失患者的选择,很多人都认为镶牙之后就万事大吉了。暨南大...【详细】
义齿有哪些类型?

牙齿缺失对于我们来说,不仅仅只是不美观的,还影响我们生活。牙齿缺失患者...【详细】
镶牙有什么需要注意事项?

我们都希望自已的牙齿白白净净,整整齐齐,完好无损。可是生活中因为自已的...【详细】
版权:广州穗华口腔医院
备案号:粤ICP备15046903号
医疗广告审查证明文号:粤(A)广(2025)第1188号