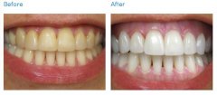
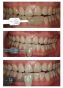
超薄瓷贴面完美修复牙齿缺损

有一口健康美白的牙齿让人非常羡慕,笑容更加灿烂迷人。那么有的人牙齿出现...【详细】
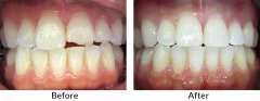
色素牙有什么危害?

暨南大学穗华口腔专家介绍,色素牙是人们常见的一种牙病,其实色素牙的产生...【详细】
色素牙是怎么形成的?

暨南大学穗华口腔专家表示说,我们希望得到周围的人喜欢、尊重和有修养一样...【详细】
色素牙治疗哪家医院好?

暨南大学穗华口腔专家指出说,色素牙是因饮食、烟茶咖啡等附着于牙齿表面,...【详细】
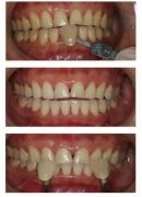
烟渍去除后怎么护理牙齿?

暨南大学穗华口腔专家指出,解决烟渍牙的好方式就是做Beyond冷光美白技术。牙...【详细】
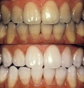
抽烟黄牙如何美白?

对于爱美人士来说,黄牙对外形的影响是十分重大的,谁不想拥有一口晶莹透亮...【详细】
黄牙美白的费用是多少?

黄牙患者想要去美白牙齿时,都会考虑到费用方面的信息。做一次黄牙美白的费...【详细】
咖啡牙美白需要多少钱?

现代都市生活都讲究一个快字,一系列便捷的快餐方式完全应运了西方文化的发...【详细】
茶渍牙美白的费用是多少?

牙齿洁白是每一个爱美的人都想要的,谁也不想一张嘴就是一口黄牙、黑牙。目...【详细】
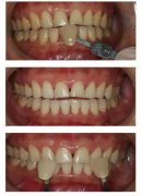
牙体修复需要多长时间?

牙齿缺损在日常生活中时有发生,大多是由于外伤、口腔疾病等原因导致。牙齿...【详细】
版权:广州穗华口腔医院
备案号:粤ICP备15046903号
医疗广告审查证明文号:粤(A)广(2025)第1188号