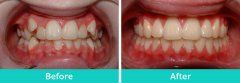
广州虎牙矫正哪种技术比较好?

很多人认为虎牙是可爱的象征,但也有很多人为虎牙而感到非常苦恼,虎牙让牙...【详细】
成人矫正虎牙价格是多少?

虎牙是一种常见的畸形牙,它因为外形酷似老虎的牙齿,由此而得名。虎牙往往...【详细】
虎牙矫正的步骤如何?

很多人都对自己长了虎牙不以为然,可是随着年龄的增长虎牙也在增长,慢慢的...【详细】
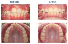
虎牙能拔掉吗?

虎牙是上颌的两颗单尖牙突出于牙弓之外形成的一种常见的畸形牙,同样的是虎...【详细】
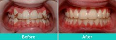
虎牙会危害健康吗?

很多人会因为拥有虎牙而骄傲,因为有虎牙,笑起来会给人很可爱的感觉,很多...【详细】
虎牙矫正的正确方式

虎牙突出的朋友不在小数,而且有时候虎牙看起来还很可爱,;这种不影响我们...【详细】
成年人还可以矫正虎牙吗?

儿童时期如果萌出虎牙也不见得就是一件坏事,会给孩子增添几分姿色看起来十...【详细】
爱牙感恩节牙齿矫正公益活动 见证预知矫牙的神

青春,本该拈花一朵的微笑,本该无所顾忌的疏狂。但哪知牙齿不齐的尴尬,让...【详细】
牙齿矫正适应哪些人群?

牙齿关系的外部形象和身心健康,现在无论是大人和孩子,都必须关注它。那么...【详细】
矫正龅牙要拔牙吗?

龅牙是临床上常见的牙齿畸形,大多数的患者表现为牙齿前突,形成一个弯弓弧...【详细】
版权:广州穗华口腔医院
备案号:粤ICP备15046903号
医疗广告审查证明文号:粤(A)广(2025)第1188号