引进广州市政公交 南校区“如约巴士”专线开通

11月9日下午,广州市定制公交如约巴士启动仪式在暨南大学南校区教学楼前举行...【详细】
学子参加全国高等医学院校中医药创意设计

11月7日,在天津中医药大学举行的2015天堰挑战杯第五届全国高等医学院校中医...【详细】
苏国辉院士开讲:自强不息是人生的主旋律

11月5日,中国科学院院士、暨南大学粤港澳中枢再生神经研究院院长、香港大学...【详细】
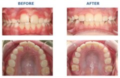
隐适美隐形矫正

美丽的笑容是我们形象的对外明信片,而笑容又离不开牙齿,所以拥有一口洁白...【详细】
牙齿不齐矫正有哪些方法?

牙齿不齐几乎是每个人都存在的问题,只有不齐的程度不同而已,在现代口腔医...【详细】
牙齿不齐可以怎么矫正?

牙齿不齐是普遍存在的现象,非常影响人的面部美观,影响人们外部形象的展示...【详细】
什么年龄矫正牙齿合适呢?

广州穗华口腔专家认为,牙列不齐的人越来越多是遗传和环境两大因素造成的。...【详细】
牙齿如何能快速矫正?

在现代时间就是金钱的时代,很多人都不想花费太多的时间去进行牙齿矫正,那么...【详细】
隐形矫正有什么好处?

广州穗华口腔医院专家介绍:隐形矫正具有传统矫正不可媲美的优点,效果显着...【详细】
牙齿矫正有哪些牙套?

外部形象对于人际交往有很大的影响,提升自己的形象有利于人际交往,而笑容...【详细】
版权:广州穗华口腔医院
备案号:粤ICP备15046903号
医疗广告审查证明文号:粤(A)广(2025)第1188号