隐形矫正需要多少钱?

隐形矫正具有其他牙齿矫正所不能媲美的优点,受到广大爱牙者的青睐,那么隐...【详细】
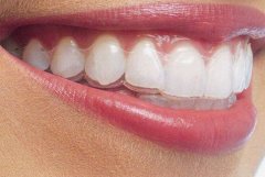
什么是隐形矫正?

隐形牙齿矫正是现代牙齿塑形效果明显又美观的方式,具有普通牙齿矫正不能媲...【详细】
全隐形矫正需要什么步骤?

最近很多人在咨询隐形矫正技术,处于对这个技术的好奇,想了解一下这种全隐...【详细】
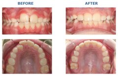
全隐形矫正有哪些?

外在形象能够增加我们的魅力,有利于我们的人际交往,那么在牙齿矫正期间,...【详细】
隐形矫正,让您不再尴尬

很多牙齿不齐想做矫正的爱美者,总是受到钢丝铁牙的阻碍,没有勇气去矫正,...【详细】
隐形矫正,让矫正不失美丽

现代牙齿矫正技术已经发展到了一个高度,矫正的同时能够维护形象的美丽和健...【详细】
全隐形矫正好在哪里?

全隐形矫正技术是现代先进的矫正技术,能够弥补传统矫正的缺点,矫正过程中...【详细】
龅牙可以用牙套矫正吗?

龅牙是东方人种中一种常见的颌面畸形,在医学专业上实质是上颌前突畸形或双...【详细】
在穗华如何矫正龅牙?

每个人都希望拥有一口整齐洁白的牙齿,可是偏偏有些人却牙齿畸形,龅牙是一...【详细】
孩子什么时候矫牙好?

现代孩子很多都有牙列不齐、龅牙、地包天等牙齿畸形,家长们都担心不已,急...【详细】
版权:广州穗华口腔医院
备案号:粤ICP备15046903号
医疗广告审查证明文号:粤(A)广(2025)第1188号