广州有名的牙科医院

牙齿有问题,食咩都无味,牙齿健康和身体健康密切相关,牙齿有问题最终会危...【详细】
暨南大学召开2015年发展规划战略研讨会

10月10日-11日,暨南大学2015年发展规划战略研讨会在曾宪梓科学馆国际会议厅召...【详细】
儿童牙齿矫正不同时期的特点

现在儿童错颌畸形的高发与家长们对口腔健康的错误认识和不重视有关,原因有...【详细】
孩子牙齿拥挤可以做隐形矫正吗?

随着生活条件提高,食物越来越精细化,孩子的牙齿就会因为缺乏应有的锻炼,...【详细】
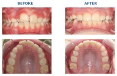
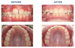
儿童牙齿拥挤问题严重吗?

经常接到类似的咨询,说孩子前牙比较不齐,应该属于拥挤那一类的,请问这种...【详细】
儿童地包天能治好吗?

有句话说牙好胃口就好,有一口好牙,吃东西也会变的香起来,身体吸收营养自...【详细】
造成儿童龅牙的原因是什么?

龅牙严重影响孩子的身体和心理健康,广州穗华口腔专家指出:引起儿童龅牙的...【详细】
儿童地包天如何治疗好?

孩子因为在后天有很多不良的口腔习惯,如伸舌、咬唇等等,这些习惯都可能导...【详细】
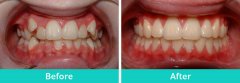
如何让牙齿变齐?

许多人有时候没有保护牙齿的意识,致使长大后牙齿出现不齐的局面,牙齿不齐...【详细】
牙齿难看有什么影响?

牙齿长得难看,无论是吃喝或是欢笑,都显得非常拘束,给生活带来了很大的不...【详细】
版权:广州穗华口腔医院
备案号:粤ICP备15046903号
医疗广告审查证明文号:粤(A)广(2025)第1188号