在广州种植牙贵不贵?

种植牙是修复牙齿缺失很好的修复方法,但因为目前物价的不断上调,种植牙的...【详细】
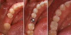
种植牙效果好吗?

种植牙是目前被公认为非常好的牙齿缺失修复方式,受到很多人的青睐。那么种...【详细】
种植牙价格贵吗?

种植牙是目前牙齿缺失很好的修复方式,很多牙齿缺失患者都选择做种植牙修复...【详细】
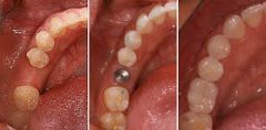
种植牙需要注意什么事项?

成功的种植牙无论是从功能还是外观上来说都可以和真牙所媲美,是一种理想的...【详细】
暨南大学承办“中国知识产权法学研究会2015年会

9月19日,由中国知识产权法学研究会主办,暨南大学法学院/知识产权学院、知...【详细】
关于根管治疗问题的答疑

根管治疗术又称牙髓治疗,是治疗牙髓病及根尖周病的有效的一种方法。通过清...【详细】
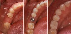
种植牙有什么优点?

种植牙较之其他牙齿修复方式,有着无可媲美的优点,它依靠自身独立牙根存在...【详细】
治疗牙周炎需要多少钱?

牙周炎的不断发展,会加速牙龈萎缩的恶化,而牙龈萎缩持续恶化的结果,就会...【详细】
牙周炎可以采取什么样的治疗方式?

牙周炎会加速牙龈萎缩的恶化,而牙龈萎缩持续恶化的结果,就会导致牙槽骨吸...【详细】
哪些人适合做根管治疗?

根管治疗是治疗牙髓病以及根尖周病的很好的治疗手段,那么哪些人适合做根管...【详细】
版权:广州穗华口腔医院
备案号:粤ICP备15046903号
医疗广告审查证明文号:粤(A)广(2025)第1188号