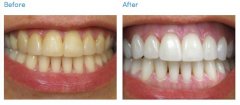
发黄的牙齿怎么样美白?

爱美是人的本性,牙齿发黄很不雅观,使爱美人士备受困扰。如果牙齿只是微微...【详细】
不要让黄牙破坏您的整体美

有些人衣服很漂亮、脸蛋很漂亮、化了妆更漂亮, 但是一张嘴就被人看见了一...【详细】
穗华皓齿美白 让美容更美

牙齿美白,不仅仅能够让你笑起来更美,同时也是品味的体现,因为各种的原因...【详细】
暨南大学新面孔之“小葡萄”的“新生之夜”

和三五好友一起,看各大社团表演,逛暨南大学印象主题区,吹着微风,吃着糕...【详细】
赖仁发做客广东广播电视台《壹健康》栏目

摘要:在2015年9月20日第27个全国爱牙日的来临之际,广东广播电视台新闻频道《...【详细】
皓齿美白30分钟,黄牙黑牙一扫光

俗话说得好貌美齿为先,牙白七分俏,拥有一口美白的牙齿是每个爱美人士的愿...【详细】
牙齿发黄发黑的原因?

在生活中,经常会出现牙齿发黄发黑的情况,广州穗华口腔吴绍荣医师指出,牙...【详细】
有了遗传性黄牙怎么办?

最近某企业单位宋小姐,一直为自己遗传性黄牙苦恼,于是在网上查询了关于遗...【详细】
网友牙齿美白大调查

不久前,搜狐网健康频道特别推出牙齿美白调查,深度了解网友对牙齿美白的了...【详细】
牙齿变黄是为什么?

有些人牙体本身颜色还不错,但是随着年龄的增长,牙齿越来越发黄;另外有些...【详细】
版权:广州穗华口腔医院
备案号:粤ICP备15046903号
医疗广告审查证明文号:粤(A)广(2025)第1188号