国庆美容牙齿去哪里好?

中秋国庆就要来了,很多爱美人士可以借此空闲去医院进行牙齿美容,在牙齿美...【详细】
国庆期间进行牙齿美容时间够吗?

牙齿美容时间要多长,在国庆期间进行牙齿矫正时间够吗?面对网友提出的这个...【详细】
我院荣获省级实验教学示范中心

日前,广东省教育厅印发了《关于公布2015年广东省本科高校教学质量与教学改...【详细】
3D靶向种植牙学术研讨会本周六在穗华口腔召开

缺牙、掉牙是长期困扰许多中老年人的难题,已经严重影响中老年人的生活质量...【详细】
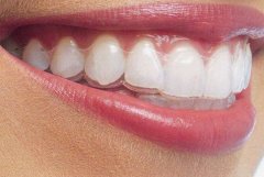
无托槽隐形矫正需要注意什么事项?

无托槽隐形矫正是日前非常流行、非常先进的牙齿矫正方式,它可以在无钢丝、...【详细】
孩子牙齿矫正在不同时期的特点

孩子在不同的年龄阶段牙齿畸形有什么特点,应该如何矫正它,下文听听穗华口...【详细】
戴上牙齿矫正器要注意什么?

牙齿矫正通过戴牙齿矫正器来实现对牙齿的排列整齐,那么戴上牙齿矫正器要注...【详细】
隐形牙套要戴多久?

隐形牙套矫正具有传统牙套不能媲美的优点,很多人都选择隐形牙套来矫正牙齿...【详细】
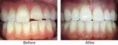
龅牙有什么影响?

龅牙这种牙齿畸形,对人的外貌和身体健康造成了影响,那么龅牙有什么影响?...【详细】
龅牙怎么治疗?

有了龅牙怎么办?这是龅牙患者们的心声,龅牙给他们的生活带来了很多不利影...【详细】
版权:广州穗华口腔医院
备案号:粤ICP备15046903号
医疗广告审查证明文号:粤(A)广(2025)第1188号