牙齿矫正后怎么护理?

拥有一口健康整齐的牙齿,更有利于身体健康,牙齿矫正可以改变牙齿不美观的...【详细】
老年人做种植牙合适吗?

岁月不饶人,在我们经过努力干出一番事业的时候,父母也逐日衰老。然而我们...【详细】
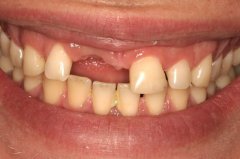
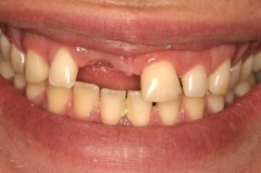
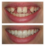
门牙缺失适合做种植牙吗?

牙齿缺失不仅破坏整个牙弓的完整性,还会使邻牙倾斜、移位,严重的还会使脸...【详细】
解决门牙缺失的好方法

门牙不慎摔坏了,使得整个牙弓的完整性被破坏,还使得邻牙移位、倾斜,没有...【详细】
牙齿脱落了怎么办?

人生并不能一帆风顺,就像我们的牙齿,如果保护不好的话,也可能会有脱落的...【详细】
孩子意外磕掉牙齿怎么办?

小明是个爱运动的孩子,有一次在足球比赛过程中,不慎摔倒,刚巧磕掉了几颗...【详细】
门牙缺失怎么办?

门牙就像我们人体的门卫,长期缺失不仅会破坏整个牙弓的完整性,还会影响相...【详细】
全口牙缺失种植有危险吗?

种植牙作为最好的牙齿修复方式,能够完好地替代真牙咀嚼食物。随着现代生活...【详细】
多颗牙缺失有哪些危害?

多颗牙缺失造成的危害有很多,大家都有所了解,但是还有一些危害可能大家都...【详细】
做前牙种植去哪家医院好?

随着现代医学技术的进步,种植牙技术也越来越完善,做前牙种植的方法有很多...【详细】
版权:广州穗华口腔医院
备案号:粤ICP备15046903号
医疗广告审查证明文号:粤(A)广(2025)第1188号