双颌前突矫正医院哪家好?

牙齿矫正是治疗双颌前突的最理想方法,通过用矫正器和矫正手术相结合的方法...【详细】
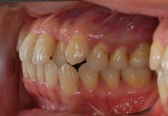
双颌前突应该怎么办?

双颌前突表现为上下牙弓和前牙均向前突出,严重者上下嘴唇不能自然闭合,形...【详细】
双颌前突矫正会痛吗?

牙齿矫正已经治愈双颌前突的最好方法,通过矫正可以恢复牙齿的自然美观的形...【详细】
双颌前突矫正术后如何护理?

双颌前突影响外貌美观,影响牙齿咀嚼功能,为身体健康埋下隐患,必须去矫正...【详细】
双颌前突矫正多少钱?

双颌前突多由遗传因素引起,另外口腔不良习惯,异常唇舌肌动力等均可致本病...【详细】
双颌前突矫正有副作用吗?

双颌前突给我们生活带来了很多不便和弊端,影响外貌美观之余,还会造成食物...【详细】
缺牙不补牙齿会更快掉光

缺牙不补牙齿会更快掉光 ​ 常说老掉牙、老掉牙,现如今牙齿脱落已经不再是...【详细】
双颌前突矫正安全吗?

不少双颌前突患者想接受牙齿矫正来改变牙齿形态,但是听说双颌前突矫正会留...【详细】
双颌前突矫正效果怎么样?

大多数双颌前突患者都接受矫正来治疗,前牙开颌是一种牙齿畸形,影响外貌美...【详细】
双颌前突矫正效果好不好?

双颌前突是一种牙齿畸形,影响外貌美观,影响口腔功能,最终影响人的身体健...【详细】
版权:广州穗华口腔医院
备案号:粤ICP备15046903号
医疗广告审查证明文号:粤(A)广(2025)第1188号