这个问题想必是许多牙缺失顾客的疑惑。实际上,镶牙和种植牙都可以解决牙齿...
【详细】
随着口腔医学技术的不断发展,越来越多的顾客选择了种植牙修复。那么,种植...
【详细】
许多人都听说过种植牙,但大多数人并不了解,种植牙也分为很多种类,其种类...
【详细】
随着中国国民口腔健康意识的逐步提高,越来越多的老人开始关注起了种植牙,...
【详细】
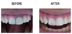
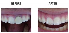
当我们的牙齿缺失之后,会严重的影响到一个人的美观的问题,单颗牙齿缺失,...
【详细】
12月22日,由暨南大学主办的地方立法与法治论坛在法学院/知识产权学院召开。...
【详细】
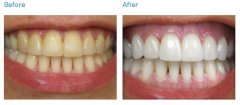
洗牙能清除牙结石,预防口腔疾病,利于口腔保健,现代很多爱美人士都选择了...
【详细】
洗牙能预防口腔疾病,有利于口腔保健,现代很多爱美人士都选择了洗牙来对牙...
【详细】
洗牙能预防口腔疾病,有利于口腔保健,现代很多爱美人士都选择了洗牙来对牙...
【详细】
很多消费者都会有这个问题:洗牙的费用是多少?在医院洗个牙一般需要100元以...
【详细】