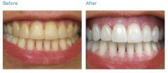
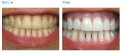
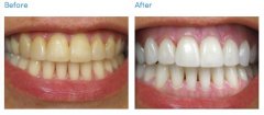
口腔医院牙齿美白专家

色素牙在生活中很常见,呈现黄色或黄褐色等现象,使人们的外貌美观大打折扣...【详细】
口腔医院牙齿美白价格

都说,貌美齿为先,在这个世上,谁不希望自己的牙齿能够白白净净的呢?冷光...【详细】
口腔医院牙齿美白费用

要想牙齿变得美白,让自己笑容更加的有自信,牙齿有色素的患者是需要做牙齿...【详细】
广州市牙齿美白医院

中国古代有一个形容美女的词语明眸皓齿。清澈的眼眸,洁白的牙齿都是提高颜...【详细】
广州市哪个医院做美白牙齿好?

拥有一口洁白美丽的牙齿是很多人的梦想,然而现实中不少人会因为氟斑牙而饱...【详细】
皓齿美白牙齿

牙齿发黄发黑?影响形象美观,不敢露齿微笑,影响人际交往,那么怎么样可以...【详细】
牙齿美白哪个医院好?

拥有一口整齐洁白的牙齿,可以让爱美者看起来更加具有亲和力。尤其是对于那...【详细】
做牙齿美白去哪家医院好?

靓齿如贝是每个人都希望能够拥有的,但是由于各种各样的原因,很多人要面对...【详细】
广州哪家医院做牙齿美白好?

微笑是最漂亮的面部表情,无论是在工作上还是在人际交往上,笑容都是一块很...【详细】
“强网杯”广东省第一届网络安全大赛收官

12月11日,强网杯广东省第一届网络安全大赛决赛在暨南大学曾宪梓科学馆举行...【详细】
版权:广州穗华口腔医院
备案号:粤ICP备15046903号
医疗广告审查证明文号:粤(A)广(2025)第1188号