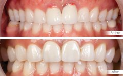
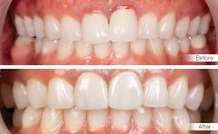
超薄瓷贴面 塑造明星般笑容

看着屏幕里的明星们个个拥有闪亮的笑容和洁白的牙齿,你是否也在羡慕?自古...【详细】
烤瓷牙失败如何处理?

烤瓷牙的流行是必然的,它外表逼真美观,兼顾耐磨,色泽接近天然牙,颜色可...【详细】
烤瓷牙需要多少钱?

烤瓷牙矫正技术可以让爱美女性变得更加美丽自信,绽放出完美迷人的笑容,这...【详细】
牙贴面怎么选择?

贴面是将牙齿唇侧(朝向外面的那一侧)表面磨除一层后用口腔专用材料重塑牙齿...【详细】
牙体修复要花费多长时间?

牙齿缺损在日常生活中时有发生,大多是由于外伤、口腔疾病等原因导致。牙齿...【详细】
茶渍牙美白需要多少钱?

牙齿洁白是每一个爱美的人都想要的,谁也不想一张嘴就是一口黄牙、黑牙。目...【详细】
咖啡牙美白需要多少钱?

一系列便捷的快餐方式完全应运了西方文化的发展,在繁忙的工作、交际之余听...【详细】
黄牙美白需要多少钱?

黄牙患者想要去美白牙齿时,都会考虑到费用方面的信息,那么黄牙美白需要多...【详细】
怎么美白抽烟黄牙?

对于爱美人士来说,黄牙对外形的影响是十分重大的,谁不想拥有一口晶莹透亮...【详细】
如何去除牙齿上的烟渍?

暨南大学穗华口腔专家指出,牙齿美白从本质上讲是一种清除牙齿珐琅质和牙釉...【详细】
版权:广州穗华口腔医院
备案号:粤ICP备15046903号
医疗广告审查证明文号:粤(A)广(2025)第1188号