“嵌入式”服务高水平大学建设 图书馆联动13个

11月16日上午,在暨南大学110周年校庆启动之际,副校长饶敏在图书馆组织召开...【详细】
暨南大学教师获广东省首届心理健康教育课教学

11月7日,由广东省教育厅主办、广东高校心理健康教育与咨询委员会承办的大学...【详细】
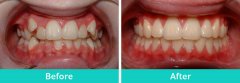
虎牙对口腔有哪些影响?

虎牙是牙齿畸形牙的一种,有些人觉得长虎牙觉得更加可爱,所以没有及时去医...【详细】
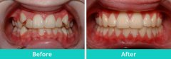
儿童出现虎牙需要矫正吗?

每个家长都想自己的孩子有一口整齐健康的牙齿,但是许多孩子不知道为什么,...【详细】
错生牙需要拔除吗?

很多孩子都出现错生牙的情况,必须要引起重视,因为这会影响到以后牙齿的生...【详细】
做反颌矫正哪种方法好?

牙齿反颌是口腔疾病常见的一种,大多是在儿童时间很常见,对于出现牙齿反颌...【详细】
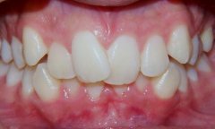
牙错位有哪些危害?

洁白、整齐的牙齿是人人都想拥有的事情,但是往往愿不如意,不少人的牙齿不...【详细】
罗援少将做客百年讲堂

11月12日,我国着名的国际战略学和国家安全学专家、博士生导师、军事科学院...【详细】
庆母校华诞 数百位校友返校植新绿

11月15日上午,由暨南大学校友会主办的109周年校庆系列活动之根系暨南植树活...【详细】
错生牙必要拔除吗?

有位患者咨询:小时候长了多生牙把牙齿都挤歪了,非常的难看,影响了正常的...【详细】
版权:广州穗华口腔医院
备案号:粤ICP备15046903号
医疗广告审查证明文号:粤(A)广(2025)第1188号