牙齿反颌哪种矫正方法好?

大多数原因,牙齿反颌是由于不良哺乳姿势,乳前牙滞留或早失,上恒切牙先天...【详细】
牙齿错颌戴牙套矫正好吗?

牙齿错颌是生活中常见的牙齿畸形问题,许多人就是因为牙齿错颌问题,而十分...【详细】
广州牙缝修复要多少钱?

一些人从小牙齿就长的比较稀疏,有牙缝,不仅影响美观,而且吃东西的时候是...【详细】
广州牙齿矫正哪家医院便宜?

梅子牙齿本来就畸形,但是因为上学的时间比较紧迫,一直没有进行牙齿矫正,...【详细】
牙齿矫正哪种方法好?

小刚因为今年要大学毕业了,面临着找工作和谈恋爱,但是他的牙齿畸形,这给...【详细】
儿童牙齿矫正什么年龄好?

随着现代生活水平越来越高,食物的精细化,使得孩子的口腔得不到锻炼,孩子...【详细】
穗华口腔网络挂号,便民利民

患者们就医经常有这样的体验,辛辛苦苦花上大半天时间排队挂号、缴费、就诊...【详细】
汇“暨情”共“逐梦”

百年学府传荣耀,十载新盛再跨越。作为中国第一所由国家创办的华侨学府,明...【详细】
海内外暨南校友共同见证校庆启动

11月15日下午,暨南大学在大礼堂隆重举行110周年校庆启动仪式。110周年校庆标...【详细】
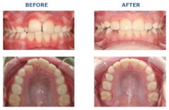
牙齿拥挤矫正成功案例

正值大好年华的王女士无论是身材还是皮肤都没的挑剔,然而她却拥有一口难看...【详细】
版权:广州穗华口腔医院
备案号:粤ICP备15046903号
医疗广告审查证明文号:粤(A)广(2025)第1188号