虎牙矫正需要拔除吗?

小孩子有虎牙感觉挺可爱的,但是孩子长大后,虎牙就长得突出,显得不可爱了...【详细】
做虎牙矫正需要注意什么事项?

生活中很多人会出现牙齿畸形的问题,许多人觉得虎牙问题是小事,不会及时去...【详细】
苏炳添、莫有雪获国侨办嘉奖

11月13日下午,暨南大学在邵逸夫体育馆举行体育学院揭牌暨苏炳添、莫有雪颁...【详细】
校董捐赠近7000万 支持教育事业

在暨南大学109周年校庆之际,暨大校董共向学校捐款5000万人民币、2000万港币,...【详细】
做牙齿矫正有年龄限制吗?

牙齿长得整齐洁白,很多时候会成为陪伴我们的一道靓丽的风景线,灿烂笑容更...【详细】
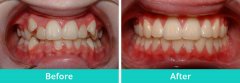
如何矫正牙列不齐呢?

牙列不齐属于畸形牙的一种,牙列不齐不仅影响一个人的外貌美观,而且还会影...【详细】
无托槽隐形矫正是什么呢?

随着人们生活水平的不断提高,人们对自身的健康、形象逐渐引起了重视,越来...【详细】
矫正牙列不齐需要多少钱?

牙齿不齐在生活中非常常见,这也致使很多人有了习以为常,见怪不怪的心理,...【详细】
龅牙有什么危害呢?

一口整齐洁白的牙齿笑起来会让人如浴春风,每个人都想拥有,整齐洁白的牙齿...【详细】
戴牙套矫正后要注意什么呢?

现在很多人在为自己的一口畸形牙而烦恼,畸形牙会给朋友们带来美观的影响,...【详细】
版权:广州穗华口腔医院
备案号:粤ICP备15046903号
医疗广告审查证明文号:粤(A)广(2025)第1188号