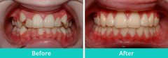
牙套矫正牙齿有哪些步骤?

如果长了一口畸形的牙齿就很悲催了,很影响美观,还会影响发音、咀嚼和进食...【详细】
牙套矫正牙齿怎么样?

畸形的牙齿非常影响美观、发音、咀嚼和进食,牙齿矫正可以塑造牙齿健康美观...【详细】
隐形牙套矫正有什么优势?

隐形牙套矫正以其独特的优势和效果得到了大家的认可,受到广大爱美患者的青...【详细】
儿童戴牙套矫正什么时候好?

牙齿矫正讲究好的时期,在好的时期里矫正牙齿,将可以免除很多麻烦,达到事...【详细】
牙齿矫正一定要带钢丝牙套吗?

陈女士今年26岁了,牙齿有畸形了,想去医院矫正牙齿,但是在大街上看到很多...【详细】
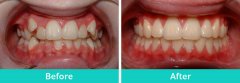
牙齿前突怎么矫正?

牙齿刚长的时候会觉得痒痒的,然后很多人就顶着牙齿,最后牙齿就会出现前突...【详细】
牙齿外突矫正需要多少钱?

青少年出现牙齿外突问题,给他们学习等方面带来了许多困扰,造成心理阴影。...【详细】
牙齿外露怎么矫正好?

生活中牙齿外露的情况很多,牙齿外露会引起上唇隆起的情况发生,从而导致人...【详细】
牙齿前突怎么办呢?

生活中,牙齿前突的患者越来越多了,牙齿前突不仅会影响到美观,还会造成面...【详细】
孩子上牙外突应该怎么办?

生活中经常看到小孩子上面牙齿长得向前突出的情况,而家长们并不是特别在意...【详细】
版权:广州穗华口腔医院
备案号:粤ICP备15046903号
医疗广告审查证明文号:粤(A)广(2025)第1188号