成人适应牙齿矫正吗?

成人牙齿已经发展定型,不像孩子矫正那么容易,那么成人适应牙齿矫正吗?暨...【详细】
矫正会把牙齿弄松吗?

有朋友提问:矫正会把牙齿弄松吗?穗华口腔专家介绍,牙齿矫正是不会把牙齿...【详细】
不同年龄段的人矫牙

很多人不知道自己的情况能不能矫牙,现在小编奉上不同年龄段的人矫牙攻略,...【详细】
牙齿矫正流程

很多人被牙齿畸形所困扰,矫牙能够塑造个人的外部形象,令魅力提升,那么一...【详细】
秀出您的矫牙梦

畸形牙除了影响颜面美观、口腔卫生健康外,对牙患来说更惨痛是心理上的创伤...【详细】
成人做矫正需要注意的问题

牙齿矫正主要包括活动矫正技术和固定矫正技术。穗华口腔专家介绍,目前使用...【详细】
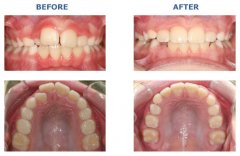
牙齿矫正步骤是怎样的?

牙齿不齐、歪牙、龅牙都能通过牙齿矫正排列整齐,收获一口整齐美观的牙齿。...【详细】
牙齿矫正后如何护理呢?

一口整齐美丽的牙齿能提升我们的魅力指数,拉近人与人之间的距离,而一口难...【详细】
牙齿矫正会有后遗症吗?

牙齿矫正可以塑造牙齿健康美观的形态,解决一些人的苦恼,受到广大爱美者的...【详细】
成年人什么牙齿症状适合做矫正?

牙齿畸形影响身心健康,损害到我们的形象,影响到我们身体的健康,那么成年...【详细】
版权:广州穗华口腔医院
备案号:粤ICP备15046903号
医疗广告审查证明文号:粤(A)广(2025)第1188号