(四)传承中华孝道美德 关注父母口腔健康

重阳节敬老爱老系列报道(四)之中国好媳妇魏红清 南方电视台今日一线联合...【详细】
(三)传承中华孝道美德 关注父母口腔健康

重阳节敬老爱老系列报道(三)东莞肾病孝子吴正新:妈妈以后我挣钱养你 南...【详细】
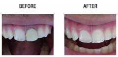
门牙掉了2颗怎么办?

门牙是关乎面部美观的问题,门牙掉了之后,不仅仅只是会影响到我们的美观,...【详细】
南校区“博雅大讲堂”正式开讲

10月29日,百年暨南大学文化素质教育讲堂第240期暨南校区博雅大讲堂第一讲正...【详细】
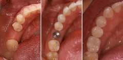
种植牙的利与弊

种植牙是现在牙齿却是很好的修复技术之一,比其他牙齿修复方式更有优势,可...【详细】
种植牙有什么危害吗?

牙齿的缺失影响患者面部的容貌,所以牙齿的修复势在必行。而种植牙是现在牙...【详细】
种植牙的后遗症

牙齿的缺失影响患者面部的容貌,还会影响身体健康,所以牙齿的修复势在必行...【详细】
广州种植牙有什么坏处?

牙齿的缺失影响患者面部的容貌,所以牙齿的修复势在必行。而种植牙是现在牙...【详细】
牙齿种植有什么缺点?

牙齿的缺失影响患者面部的容貌,所以牙齿的修复势在必行。而种植牙是现在牙...【详细】
广州种植牙有什么缺点?

牙齿的缺失影响患者面部的容貌,所以牙齿的修复势在必行。而种植牙是现在牙...【详细】
版权:广州穗华口腔医院
备案号:粤ICP备15046903号
医疗广告审查证明文号:粤(A)广(2025)第1188号