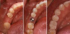
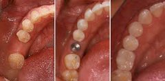
3D靶向种植牙技术,是暨南大学多位种植名家多年积累的义齿修复技术和经验,...
【详细】
种植牙已经成为新兴的牙齿缺失修复技术,牙齿缺失后严重的影响了我们的身心...
【详细】
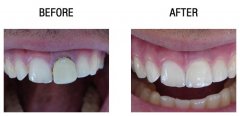
牙齿缺失特别是门牙缺失不但影响到我们的形象美观,也影响到我们的身心健康...
【详细】
为了推动国际上种植技术的进步与发展,国际上历史最悠久的国际口腔种植医师...
【详细】
10月25日上午,中国科学院外籍院士、美国佐治亚理工学院王中林教授一行莅临...
【详细】
10月12日至21日,暨南大学校党委书记蒋述卓率团访问法国、荷兰和英国,就深入...
【详细】
牙齿关系到我们的饮食健康,进而影响到我们的身体健康,还会影响到我们的形...
【详细】
现代种植牙技术已经越来越成熟,接受住了时间的考验,受到牙科医师的推崇和...
【详细】
种植牙具有其他牙齿修复不能媲美的优点,美观大方、不伤邻牙、独立稳固,因...
【详细】
种植牙具有无法媲美的优越性,可替代真牙行使牙齿功能,那么种植牙价格是多...
【详细】