单颗牙缺失怎么办?

我们的牙齿一般不会掉那么多,有时因为不小心或是意外,造成单颗牙缺失,有...【详细】
单个牙齿缺失有什么危害?

很多人不注意保护牙齿健康,没有树立正确的口腔保健意识,会造成牙齿缺失,...【详细】
牙齿缺失可以种牙吗?

种植牙被人称为人类的第三副牙齿,具有无可媲美的优点,可以替代真牙行使牙...【详细】
牙齿缺失坏在哪里?

在生活中,由于不注重口腔健康保健,造成牙齿缺失的人群不在少数,那么牙齿...【详细】
新星莫有雪在青运会“百米飞人”大战中夺冠

10月22日,首届青运会田径比赛在福州市海峡奥体中心举行。暨南大学经济学院...【详细】
不良修复体有哪些危害呢?

口腔出现症状或想要美容牙齿,很多人都选择口腔修复体,然而口腔修复引发的...【详细】
如何避免不良修复体的伤害?

暨南大学穗华口腔专家指出,不良修复体的危害很多,为避免受到不良修复体的...【详细】
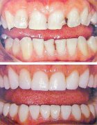
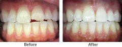
快速矫正牙齿有什么方法?

随着医疗美容技术的发展与进步,牙齿矫正术也取得了巨大的发展与进步,那么...【详细】
美容修复为什么能风靡全球?

牙齿美容修复对于爱美人士来说是很熟悉的了,这是目前很受欢迎的牙齿美容方...【详细】
牙齿矫正真的只需7天吗?

很多人认为牙齿矫正一般要一两年才才能实现,但是近代随着医疗美容技术的发...【详细】
版权:广州穗华口腔医院
备案号:粤ICP备15046903号
医疗广告审查证明文号:粤(A)广(2025)第1188号