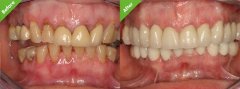
四环素牙如何有效美白?

四环素牙让人的牙齿显得黄而暗淡,好像牙齿生病了一样,非常影响美观,四环...【详细】
四环素牙有什么不好的影响?

四环素牙是指四环素族药物引起的着色牙,属于口腔科疾病,病因是在牙的发育...【详细】
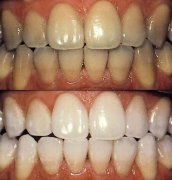
牙齿美白,自信更多一点

牙齿美白,让我们的笑容更加灿烂,也是一种魅力的绽放,牙齿美白,让我们自...【详细】
四环素牙美白价格是多少?

四环素牙给我们的生活带来了很多不良的影响,影响我们的形象,进而影响我们...【详细】
牙周手术后怎么护理?

在进行牙周手术治疗后,患者还需进行适当的护理,才能恢复好牙周健康,那么...【详细】
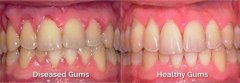
牙周病危害口腔健康

牙周病的主要症状是牙龈出血,牙龈红肿,疼痛,严重时牙龈溢脓,咀嚼无力,...【详细】
得了牙周病怎么治?

老百姓普遍知道蛀牙的危害,却不知道牙周病才是牙齿健康的最大杀手。临床中...【详细】
怎么预防牙髓病呢?

牙髓病给人们带来了烦恼,令人们的饮食与生活都很不方便,所以对于生活中多...【详细】
牙齿不整齐如何好?

现代人越来越注重牙齿的整齐美观,随着现代口腔医疗技术的发展,牙齿矫正技...【详细】
叶惠全校董一行参观访问南校区

10月12日下午,暨南大学校董、中惠熙元集团董事长叶惠全一行莅临南校区参观...【详细】
版权:广州穗华口腔医院
备案号:粤ICP备15046903号
医疗广告审查证明文号:粤(A)广(2025)第1188号