哪些人适合做牙齿冷光美白?

穗华口腔医院牙齿冷光美白技术采用恒温纳米光,是现阶段的牙齿美白技术。它...【详细】
烟渍牙如何美白呢?

整齐洁白的牙齿是每一位爱美人士的追求,但由于生活上或 者是工作上的应酬...【详细】
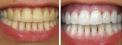
牙齿发黄要怎么办?

暨南大学穗华口腔专家介绍说:牙黄、牙黑等一系列口腔问题都一直在困扰着许...【详细】
色素牙如何美白呢?

牙齿也要白富美!可是由于各种因素,牙齿上却出现了暗沉的色素,严重影响牙...【详细】
牙齿不齐如何矫正?

在社会竞争越来越激烈的今天,一副整齐的牙齿,漂亮的面型不仅有利于牙周健...【详细】
牙列不齐有什么影响?

牙齿不齐又称错颌畸形,是指儿童在生长发育过程中,由先天的遗传因素或后天...【详细】
广州矫正牙齿不齐要多少钱?

您身边有亲朋好友正在受牙齿不齐的影响吗?牙齿不齐使患者脸部畸形,还会对...【详细】
美容修复牙齿畸形

灿烂的笑容是魅力的源泉,而灿烂的笑容源于洁白无瑕的牙齿,可是并不是每个...【详细】
暨南大学胡军校长与本科生一起上课

10月20日,暨南大学胡军校长来到教学大楼,与同学们一起听了管理学院山峻老...【详细】
四环素牙的成因及美白方法

四环素牙是由于服用了四环素类药物引起的牙齿变色。四环素是一种强有力的螯...【详细】
版权:广州穗华口腔医院
备案号:粤ICP备15046903号
医疗广告审查证明文号:粤(A)广(2025)第1188号