纪念抗战胜利70周年:归侨倾力创作舞台剧

为纪念中国人民抗日战争暨世界反法西斯战争胜利70周年,暨南大学华文学院侨...【详细】
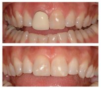
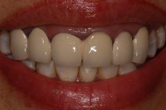
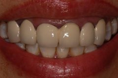
穗华口腔专家讲解关于牙齿美容修复的疑问

很多牙齿患者对于牙齿美容修复有很多疑问,针对牙齿患者们提出的问题,穗华...【详细】
有蛀牙怎么办?

在生活中,大家常常会发现有蛀牙这个牙齿问题,那么有蛀牙怎么办呢?穗华口...【详细】
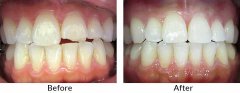
烤瓷牙失败了怎么办?

早些年前,许多牙齿患者只能通过传统烤瓷牙来修复各种牙齿问题。刚做了烤瓷...【详细】
烤瓷牙失败修复后会不会复发?

烤瓷牙失败症状主要包括:烤瓷牙脱落、咀嚼不良、色泽欠佳、形态不理想、牙...【详细】
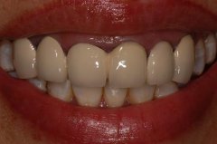
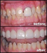
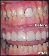
牙齿美容修复术完美解决烤瓷牙失败

很多爱美人士都非常担心做过烤瓷牙出现牙龈发炎红肿、烤瓷牙于牙龈处出现黑...【详细】
烤瓷牙失败修复哪间医院好?

对于烤瓷牙失败修复,对技术要求非常高,广州穗华口腔专家建议患者需要谨慎...【详细】
广州烤瓷牙失败修复需要多少钱?

很多爱牙人士在做过烤瓷牙修复后,出现牙龈发炎红肿、烤瓷牙于牙龈处出现黑...【详细】
烤瓷牙失败会造成哪些伤害?

烤瓷牙是传统的一种非常理想的修复体,能够在短时间内快速修复各类畸形牙齿...【详细】
烤瓷牙失败的原因是什么?

早几年前烤瓷牙修复是一种流行的修复牙齿的方式,它是运用合金制成金属基底...【详细】
版权:广州穗华口腔医院
备案号:粤ICP备15046903号
医疗广告审查证明文号:粤(A)广(2025)第1188号