双星:苏炳添和莫有雪

自8月29日晚中国男子接力队创造新的历史成绩后,全世界的目光都投向了培养了...【详细】
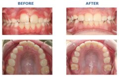
11月15日韩国著名口腔正畸专家坐诊穗华

11月15日韩国著名口腔正畸专家李度勳坐诊穗华 韩国极速牙齿矫正创始人李度勳...【详细】
微笑广州•十月口腔敬老月

近日,由暨南大学穗华口腔医院 、广州市天河区文明委、广州市文明办、天河...【详细】
什么是美国3MLava全瓷牙?

美国3MLava全瓷牙为极佳的系统,不用改变修磨与印模的方式;与陶瓷烧附金属修...【详细】
美国3Mlava全瓷牙的优势

美国3Mlava全瓷牙具有绝佳的优势,成为拥有健康牙列年轻人群的一个很有吸引力...【详细】
广州牙齿美容修复哪家医院好?

很多爱美人士在烤瓷牙修复不久后,牙龈出现红肿等不良现象,经常在一些重要...【详细】
广州牙齿美容哪家医院好?

广州穗华口腔位于广州黄埔大道西413号3、4、5楼,一所由暨大附属口腔医院与韩...【详细】
广州牙齿矫正哪家医院好?

不久前一位网友咨询想矫正自己的龅牙,但是不知道广州牙齿矫正哪家医院最好...【详细】
牙齿美容修复效果怎么样?

在生活中,我们经常因为门牙缺损、牙齿不齐、色素牙等而感到困扰,不敢露齿...【详细】
成人牙齿可以矫正吗?

很多人成年人因为错过了牙齿最佳矫正期而失望不已,其实不然,随着现代医术...【详细】
版权:广州穗华口腔医院
备案号:粤ICP备15046903号
医疗广告审查证明文号:粤(A)广(2025)第1188号