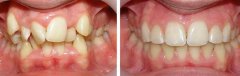
现代人们都希望拥有一口健康美观的牙齿,牙齿矫正可以塑造牙齿健康美观的形...
【详细】
大家是否了解过牙齿矫正到底是怎么回事,想要做牙齿矫正,必须了解好牙齿矫...
【详细】
牙齿矫正有它的最好时期,很多人因为错过了牙齿矫正的黄金期,使得牙齿矫正...
【详细】
在日常生活中,很多人存在牙齿错位的现象,牙齿错位的危害很多,笼统地来说...
【详细】
很多牙齿错位的朋友想进行牙齿矫正,又由于事业刚刚起步,负担不起矫正费用...
【详细】
牙齿错位的现象在生活中很常见,严重影响了颜面美观,造成牙齿错位的原因有...
【详细】
牙齿错位在我们生活中很常见,是一种牙齿畸形,它的危害不可忽视,直接影响...
【详细】
牙齿错位在生活中很常见,很多朋友都不已为然,殊不知牙齿错的危害很大,那...
【详细】
牙错位的危害不可忽略,它给我们的生活带来了很大的困扰,对我们的身心造成...
【详细】
牙错位给牙错位患者带来了一系列的问题:不能开怀大笑、咀嚼食物不充分、清...
【详细】