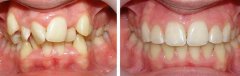
牙错位对人体有什么害处?

牙错位不仅影响颜面美观,对人体健康也产生不可忽视的影响,那么牙错位对人...【详细】
牙错位的害处表现在哪里?

很多人认为牙错位不碍事,认为没有影响到饮食,所以无关紧要,然而事实没有...【详细】
牙错位怎么矫正

一口健康整齐的牙齿是一个人气质的体现,让人绽放自信的笑容,拥有一口健康...【详细】
3D靶向种植牙直播手术在穗华口腔医院圆满落

2015年8月23日,由羊城晚报、老人报、腾讯大粤网联合主办的3D靶向种植牙手术在...【详细】
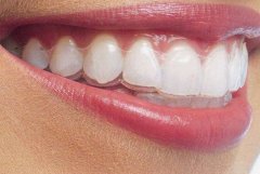
牙齿不齐矫正有哪些方法?

牙齿不齐通过牙齿矫正恢复牙齿自然美观的形态,现代医学的发展,牙齿矫正方...【详细】
牙齿不齐矫正的佳年龄

现代医学已经使得牙齿不齐矫正没有了年龄限制,无论是什么年龄阶层,都可以...【详细】
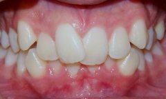
牙齿不齐有哪些危害?

牙齿不齐不但影响颜面美观,而且有很多危害,那么牙齿不齐有哪些危害呢?下...【详细】
造成牙齿不齐的原因是什么?

牙齿不齐又称错颌畸形,是指儿童在生长发育过程中,由先天的遗传因素或后天...【详细】
牙齿不齐有哪些后天因素?

造成牙齿不齐的后天因素对牙齿起着非常大的作用,不能忽视它,那么牙齿不齐...【详细】
哪些牙齿需要矫正?

牙齿跟身体健康息息相关,我们不能忽略它,牙齿畸形需要矫正它,以恢复牙齿...【详细】
版权:广州穗华口腔医院
备案号:粤ICP备15046903号
医疗广告审查证明文号:粤(A)广(2025)第1188号